메디레이 ‘MVP 신경외과 라이브 서저리 세미나’ 성료..글로벌 하이엔드 장비 업그레이드 움직임 활발

메디레이가 11월 9일(일) 개최한 ‘MVP Surgical Workshop’이 전국 임상 수의사들의 뜨거운 참여 속에 성황리에 마무리됐다. 참가자 설문 결과, 프로그램 진행 및 강의 콘텐츠에 대한 전반적인 만족도가 100%를 기록할 정도였다(매우 만족 76.5%, 만족 23.5%).

이번 워크숍은 신경외과 분야에서 활용되는 브레인 네비게이션, VP 션트, IPC 드릴, O-arm 등 주요 장비를 중심으로 최신 술기와 수술 환경을 직접 체험할 수 있도록 구성됐다. 참가자들은 특히, ‘Navigation-Biopsy & Shunt'(94.1%)와 ‘Drill (MRHOW)'(64.7%) 토픽에 가장 큰 관심을 보였다.

메디레이에서 진행한 MVP 워크숍은 돼지를 이용한 Live Surgery 방식으로 진행됐다. 기술 요소들을 실습을 통해 확인하며 ‘수술 환경이 갖춰졌을 때 체감되는 차이’를 직접 느낄 수 있도록 했다.

참가자 전원은 “MVP 트레이닝이 실제 임상 진료 현장에서 도움이 될 것”이라고 응답했으며, 동물병원에서 네비게이션 도입 필요성에 대해서도 94.1%가 긍정적으로 답해(반드시 필요 70.6%, 필요 23.5%), 하이엔드 장비와 체계적인 교육에 대한 현장의 높은 수요를 입증했다.

실제 참가자들은 “수술 중 반응성과 안정성이 확실히 다르다는 점을 느꼈다”, “업그레이드 필요성을 현장에서 바로 이해할 수 있었다” 등의 생생한 후기를 남겼다.

메디레이 관계자는 “MVP 워크숍 이후 핵심 장비 업그레이드 문의가 이어지고 있다”며 “병원들이 연말을 내년 수술 환경을 다시 설계하는 전략적인 시점으로 보고 있다는 점이 분명하게 나타났다”고 전했다.

메디레이(MEDILEI)는 국내 동물병원에 글로벌 하이엔드급 수술 장비 공급과 전문적인 임상 교육 및 기술 지원을 함께 제공하고 있다.

메디레이는 메드트로닉(코비디엔), 존슨앤드존슨(에치콘, 드퓨 신테스), 보스턴사이언티픽 등 글로벌 의료기기 브랜드의 공식 파트너사로, 리가슈어 전기수술기, 초음파 절삭기, 드릴 시스템, 혈관 봉합, 어블레이션 등 다양한 프리미엄 장비 라인업을 보유하고 있다.

메디레이 관계자는 “최근 병원 현장에서는 수술 난이도에 맞춰 업그레이드된 장비를 찾는 흐름이 뚜렷하다”며 “새로운 세대의 하이엔드 장비들은 정밀도, 에너지 효율, 인체공학적 설계가 모두 개선되어 수술 결과를 한 단계 끌어올린다”고 설명했다. 이어 “장비 업그레이드는 단순한 장비 교체가 아닌, 병원 경쟁력 강화를 위한 ‘전략적 투자’로 인식되고 있다”고 덧붙였다.

메디레이는 단순한 장비 판매를 넘어, 임상 교육, 임상 백업, 장비 교육 및 점검까지 전 과정을 직접 관리하는 시스템을 운영하고 있다.

메디레이 관계자는 “연말은 한 해 동안 사용해 온 장비의 성능과 상태를 점검하기에 좋은 시기”라며 “이 시점에 장비 상태를 점검하고, 필요시 업그레이드를 결정하는 것이 병원 입장에서는 가장 현실적인 예방 투자”라고 강조했다.

특히 메디레이는 장비 도입 이후에도 현장 백업을 통해 수술 중 장비 세팅 지원, 수술실 워크플로우 개선, 장비 교육까지 함께 진행하며 병원과의 ‘장기적 파트너십’을 구축하고 있다.

내년은 복강 내시경, 신경외과 등 고난도 수술 분야가 확대될 것으로 예상된다. 이에 따라, 동물병원들은 수술실 재정비와 장비 업그레이드를 조기에 준비하고 있다.

메디레이는 “수의사의 내일을 밝히는 든든한 파트너로서 병원의 성장과 진료 수준 향상을 위한 장비 혁신과 기술 지원을 지속하겠다”고 말했다.

메디레이 관련 문의는 메디레이 카카오채널 또는 전화(02-6327-8777)로 할 수 있다.

고병원성 조류인플루엔자 방역 현장 점검한 최정록 검역본부장

농림축산검역본부 최정록 본부장이 17일(월) 전북특별자치도 익산시 소재 가금(닭) 계열화 사업자인 ㈜하림을 방문하여 고병원성 조류인플루엔자(고병원성 AI) 방역관리 추진 현황을 점검하였다.

하림은 계열농장에 대한 방역 교육, 예찰, 소독 및 차단방역 실태점검 등을 주 내용으로 하는 계열사 자체 방역 프로그램을 강화했다며, 소속 농장에서 조류인플루엔자 발생을 막기 위해 차단방역에 최선을 다하고 있다고 설명했다.

전북특별자치도와 익산시는 축산차량과 종사자의 철새도래지 출입 금지, 철새도래지 위험지역 주변 농가의 방역 조치, 특별방역대책기간 거점소독시설 운영, 외국인 근로자 방역관리 등 차단방역 추진 사항을 보고했다.

최정록 농림축산검역본부장은 “이번 동절기 야생조류가 본격 도래하면서 가금농장 및 야생조류에서 고병원성 조류인플루엔자가 발생하고 있고, 최근에는 전북지역 야생조류 및 부안 육용오리에서 조류인플루엔자 H5형 항원이 검출되는 등 추가 발생이 우려되는 엄중한 상황”이라며 “가금농장, 도축장 등 축산 관련 시설에서는 보다 강화된 방역 실천이 필요한 시점”이라고 말했다.

이어 “계열사가 주인의식을 갖고 계열농장에 대한 연중 교육, 예찰 및 차단방역 실태점검 등을 체계적으로 시행하는 자율 방역 프로그램을 마련하고 지속적으로 운영해야 한다”고 강조했다.

한편, 올해 9월 이후 고병원성 조류인플루엔자는 총 5곳의 가금농장에서 발생했으며(경기 4, 광주 1), 야생조류에서는 8건 검출됐다(전북 3, 충남·충북·전남·부산·광주 1).

기립불능·의식저하 반려견, 뇌종양 수술해 보니 국내 보고 없던 ‘두개강내 조직구육종’

이안동물의학센터 신경센터(INC, Ian Neurology Center)가 국내에서 아직 보고된 적 없는 뇌종양 제거 수술에 성공해 관심을 받고 있다.

최종 진단명은 반려견에 매우 드문 것으로 알려진 Primary Intracranial Histiocytic Sarcoma(원발성 두개강내 조직구육종)였다. 뇌의 후두엽을 절개해 특정 부위에 접근하는 신경외과 수술 방법인 ‘Posterior Transcortical Approach(후방 경피질 접근법)’를 최초로 적용한 것도 특징이다.

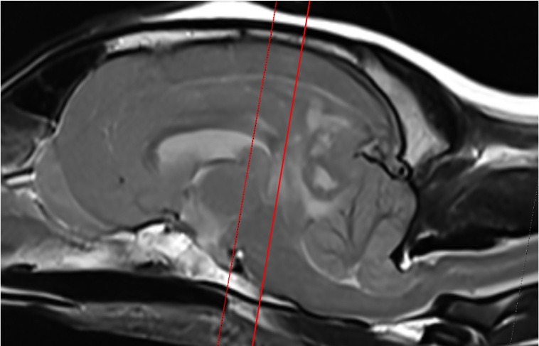
그림1. MRI에서 좌측 대뇌반구 내에 종괴가 확인되며, 광범위한 부종이 동반되어 있음. 종괴와 부종으로 인해 대뇌낫이 우측으로 변위되고, 소뇌의 현저한 압박과 초기 탈출 소견이 관찰됨.

12살 암컷 웰시코기 환자는 기립불능과 의식 저하를 보이며 내원했다. 초기 신경학적 검사에서 전반적인 신경 반응 저하가 확인됐으며, 특히 연하반사 부재가 뚜렷해 중증의 뇌신경계 이상이 의심됐다. 뇌 MRI 촬영 결과, 좌측 대뇌반구 심부에 위치한 종괴성 병변이 확인됐으며, 영상학적 특성상 수막종(meningioma)의 가능성이 높게 판단됐다.

이외에도 광범위한 뇌부종, 대뇌낫의 우측 변위(midline shift), 소뇌 압박 및 탈출 소견이 함께 관찰됐다. 뇌간 압박까지 동반한 매우 위중한 상태였다.

이안동물신경센터에 따르면, 환자는 MRI 검사 후 회복 과정에서 자발호흡이 회복되지 않아 발관이 불가능할 정도였으며, 신경학적으로 stupor 수준의 의식저하가 지속됐다고 한다. 뇌파검사에서도 뇌파 자체가 확인되지 않을 정도의 심각한 뇌기능 부전이 의심됐다.

의료진은 이러한 임상 증상을 통해 ‘종양에 의한 중증 뇌간 압박’이 있다고 판단, 보호자에게 안락사 또는 뇌종양 제거술을 치료 옵션으로 제시했고, 보호자의 강력한 의지에 따라 수술이 진행됐다.

환자의 종양은 뇌실질 내부(좌측 심부)에 위치한 형태로, 수의학에서는 기존에 확립된 접근법이 없었다. 이에 이안동물신경센터는 인의 신경외과에서 활용하는 Posterior Transcortical Approach를 적용했다.

이 술식은 측두–두정엽(temporoparietal region) 후방 피질을 통과하여 심부 구조로 접근하는 방법으로, 심부 종양 제거가 필요한 경우에 적합한 고난이도 술식이다.

그림2.(좌) 후방 경피질 접근법(Posterior Transcortical Approach)을 통해 측두–두정엽(temporoparietal region)에서 노출된 종양. (우) 뇌간 인접 부위에서 뇌간을 직접 압박하고 있는 종양이 확인됨(편집자 주 : Blur처리된 사진입니다).

의료진은 “이 접근법을 이용해 두개강 내로 안전하게 진입한 뒤 뇌간 인접 종양을 제거하여 뇌간 압박을 해소했다”며 “수술 중 제3뇌실의 정상적인 뇌척수액(CSF) 흐름도 회복됨을 확인했다”고 밝혔다.

수술 직후 촬영한 MRI에서 뇌간 압박의 완전한 소실이 확인됐으며, MRI 촬영 중 자발호흡도 회복됐다. 약 6시간 후 환자의 상태가 안정되어 발관도 가능해졌다.

그림3. 수술 후 영상에서 종양이 제거된 것이 확인됨. 종양에 의해 발생했던 뇌간 압박도 해소된 모습.

환자는 약 30시간 동안 삽관 상태였고, 장기 기도 삽관 및 유연증상으로 술후 CT에서 흡인성 폐렴이 확인됐다. 이에 따라, 적극적인 항생제 치료와 두개내압 관리가 시행됐다.

환자는 수술 다음 날 신경학적 평가에서 좌측 위협 반사(menace response) 외 모든 기능이 정상화됐다. 또한, 스스로 식욕을 보이고 기립 및 보행까지 가능한 수준으로 회복했다.

술후 2일째, 뇌파검사에서 수술 전에는 보이지 않던 정상 뇌파 패턴이 재출현했다.

술후 6일 차에는 폐렴이 뚜렷하게 호전됐고, 혈액검사에서도 이상 소견이 없어 퇴원했으며, 현재 일상생활에 지장이 없을 정도로 정상적인 신경학적 기능을 유지하고 있다고 한다.

그림4. (좌) 수술 후 1일 차에 기립 및 보행이 가능해진 환자의 모습. (우) 뇌파검사에서 정상 범주의 뇌파 패턴이 다시 나타남.

제거된 종양 조직은 면역조직화학검사에서 IBA-1 양성을 보여 Histiocytic Sarcoma로 최종 진단됐다.

Primary Intracranial Histiocytic Sarcoma(원발성 두개강내 조직구육종)는 개에서 매우 드문 악성 종양으로, 수막 또는 맥락막 신경총의 수지상세포 기원으로 알려져 있다. 수의계에서 보고된 사례는 극히 제한적이며, 치료 보고의 경우, 최근 문헌에서도 일본의 단일 증례만 확인된다.

이안동물신경센터는 “국내 보고는 전무한 상황”이라며 “향후 학술적으로 중요한 자료가 될 것으로 판단되어 추적관찰 후 본 증례를 논문으로 발표할 예정”이라고 전했다.

이안동물신경센터 김우경 팀장이 현미경을 이용한 미세 뇌수술을 집도 중인 모습.

한편, 현재 수의학에서는 뇌수술 관련 술기 체계가 충분히 확립되어 있지 않다. 단순히 두개골접근만 고려해서는 안 되며, 뇌혈관·뇌신경 회로·심부 구조의 해부학적 이해까지 포함된 체계적 술식이 필요하다는 게 전문가들의 지적이다.

이안동물신경센터는 인의 신경외과에서 발전해 온 현미경 뇌수술 기술을 동물 환자에게 적용하고 있다. 현미경 수술은 확대 시야를 통해 깊은 구조물에 위치한 종양까지 정밀하게 제거할 수 있으며, 뇌간처럼 생명 유지 기능이 집중된 부위에서도 정확히 종양 조직만 분리·제거할 수 있다는 장점이 있다.

이안동물신경센터는 “이러한 미세신경수술 기술을 동물의 해부학적 특성에 맞게 재정립하여 수의신경외과 분야의 발전에 기여할 수 있도록 지속적으로 연구·교육 활동을 이어갈 것”이라고 밝혔다.

정밀진단·표적치료제·방사선 치료 저변 확대..청사진 그린 수의종양의학연구회

한국수의종양의학연구회(KVOS, 회장 서경원)가 16일(일) 서울 대웅제약 베어홀에서 제3회 컨퍼런스를 개최했다.

동물 환자의 암을 치료하는 국내 수의종양의학은 계속 발전하고 있다. 2020년대부터 국내에 도입된 방사선치료는 저변을 점차 확대하면서, 방사선치료기 도입도 늘어날 전망이다. 개체별 맞춤형 항암제 선택을 위한 진단검사 서비스도 속속 상용화되어 시장을 확대하고 있다.

서경원 회장은 “올해 VCS(수의종양학회) 컨퍼런스에서도 환자 맞춤형 정밀의료, 면역항암요법 등이 화두였다. 아직 상용화되지 않았지만 동물에 도입되는 시대가 목전에 있다”면서 수의종양의학 분야의 다가올 미래에 대한 일선 임상수의사들의 대비 필요성을 강조했다.

이번 컨퍼런스도 표적치료제와 면역요법, 방사선치료 등 미래 수의종양의학의 핵심 요소에 초점을 맞췄다.

고도화되는 진단·치료에 수반될 수밖에 없는 진료비 부담 상승을 완화하기 위해 반려동물보험 등 지원 체계를 정비하고, 수의종양의학에서의 근거를 강화해야 한다는 지적도 나왔다.

이날 컨퍼런스는 다이키 카토 도쿄대 교수의 초청 특강으로 문을 열었다.

다이키 교수는 개별 환자 맞춤형 분자표적치료제 활용에 주목했다. 토세라닙(toceranib)부터 이마티닙(imatinib), 라파티님(lapatinib), 소라페닙(sorafenib), 베무라페닙(vemurafenib) 등 다양한 치료제의 개·고양이 고형암 환자 적용 연구를 소개했다.

다이키 교수는 동물 종양의 표적치료를 위한 과제로 환자 맞춤형 정밀 진단을 꼽았다. 환자에서 채취한 종양조직을 활용해 전통적인 조직병리학적 진단을 넘어 다양한 종양 유전자 돌연변이 여부를 정밀 분석해 타겟으로 삼는다는 것이다.

환자 유래 종양을 오가노이드로 제작해 여러 분자표적치료제를 시험하여 최적의 치료계획을 세우는 접근법도 과제로 지목했다.

다이키 교수는 “사람에서 유전자 분석에 기반한 치료법은 이미 자리 잡아 종양 환자의 생존기간을 1.5배, 생존율을 2배까지 획기적으로 개선시켰다”면서 “환자 유래 오가노이드 시험에서는 동일한 종양 유형에서도 환자별로 효과적인 약물이 다르게 나타난다”고 설명했다.

일본과 한국을 포함해 아시아 전반을 아우를 ‘아시아수의종양학회’를 만든다면 수의종양의학 정밀의료 연구와 신약 개발 등에 탄력을 받을 수 있을 것이란 구상도 내놨다.

암 면역요법(cancer immunotherapy)에 대한 최신 연구동향도 눈길을 끌었다. 2018년 노벨생리의학상으로 주목받은 면역관문 억제제(immune checkpoint inhibitor)가 곧 동물 암환자 치료에도 도입될 수 있다는 것이다.

다이키 카토 도쿄대 교수

동남권원자력병원 방사선종양학과 전완 과장은 방사선치료의 역사부터 사람 의료에서의 최신 동향까지 폭넓게 다뤘다.

사람에서 종양의 발생부위와 유형, 병기에 따라 방사선치료를 어떻게 실행하는지 세부적으로 소개하면서 동물 환자에서의 응용을 조언했다.

방사선에 의해 손상된 세포는 DNA를 회복하려 하는데, 정상조직은 암세포보다 복구 능력이 더 좋다. 이 같은 특성을 활용해 방사선 치료가 정상조직 손상을 최소화하면서 종양 손상을 극대화하게 된다.

방사선 치료를 실시하면 암세포가 방사선에 더 민감해지는 경향을 띄게 된다. 저산소 상태였던 암세포 환경의 산소가 풍부해지면서 방사선 감수성도 증가한다. 여러 번 분할하여 방사선 치료를 실시하면, 정상조직으로의 노출 피해를 줄이면서도 종양 손상을 높일 수 있는 이유다.

다만 방사선 치료 기간이 너무 길어지면 암세포의 재증식 위험도 증가한다. 전 과장은 “치료기간과 분할 간격의 최적화가 중요하다”면서 “방사선 치료는 치료 부작용과 치료 결과 사이에서 줄다리기를 해야 하는 숙명에 놓여 있다”고 설명했다.

양성자 치료, 중입자 치료, 인공지능(AI)을 활용한 방사선 치료계획 수립과 함께 건강보험 수가체계에서 비롯되는 경향성까지 소개해 눈길을 끌었다.

서울대 수의내과학실 박진혁 수의사는 지난 9월 미국 유타주 솔트레이크 시티에서 열린 VCS 컨퍼런스의 동향을 소개했다. B세포 림프종에 대한 최신 치료 경향과 함께 동물 종양환자에 면역요법을 도입하기 위해 시도 중인 ‘CHECKMATE K9’ 파일럿 스터디 진행 상황을 공유했다.

경북대 수의대 이상권 교수는 비(非)신경계 종양에 대한 MRI 활용을 주제로 강연을 진행했다.

한국수의종양의학연구회 서경원 회장

국내에서도 종양 치료의 저변은 빠르게 넓어지고 있다.

한 참가자는 “국내 수의종양학 임상은 빠르게 변화하고 있다. 이날 소개된 표적치료제들 대부분 국내 동물병원에서도 이미 활용되고 있다”면서 “(고형암 환자에 대해) 1차 치료는 기존처럼 진행한다 해도 필요할 경우 유전자 분석, 오가노이드 검사 등을 통해 표적치료를 시도한다”고 전했다.

환자 맞춤형 표적치료를 위한 정밀진단 서비스는 동물에도 속속 상용화되고 있다. 이날 컨퍼런스의 현장 후원사로 나선 임프리메드, 포도테라퓨틱스, 캐니케티케어가 대표적이다.

임프리메드는 림프종을 중심으로 효과적인 항암제를 찾고 예후를 예측하는 서비스를 제공한다. 포도테라퓨틱스는 동물병원의 종양 검체로부터 오가노이드를 제작해 항암제 효능을 분석한다. 캐니케티케어는 종양 돌연변이에 대한 유전자 신속진단 서비스로 임상수의사를 뒷받침하고 있다.

이들 업체 관계자들 모두 일선 동물병원에서 종양 환자에 대한 정밀진단 수요가 빠르게 늘고 있다고 입을 모았다. 업체별로 다양한 분석 서비스를 추가해 진단 플랫폼을 확장하기 위한 발걸음을 재촉하고 있다.

허들은 있다. 이들 종양 정밀진단 서비스 대부분의 검사비용이 고가에 속하다 보니 보호자들의 부담이 높아진다는 것이다.

사람과 달리 동물에서 아직 부족한 근거 수준도 지적됐다. 또다른 원장은 “각종 표적치료제도 아직 개에서의 근거가 소규모 연구 결과에 그치는 경우도 있다”면서 “기존의 치료법을 적용해보고 효과가 미흡한 경우에만 보호자와 논의에 시도해보는 편”이라고 말했다.

이 원장은 “(동물 종양 치료의) 앞으로 가야 할 방향은 면역요법이 분명한데, 관련 제품 출시나 연구가 활발한 미국·일본과 달리 한국에서는 아직 시도해보기 어렵다”고 덧붙였다.

서경원 회장은 “국내 동물병원에 방사선치료기 3~4대가 추가 설치될 전망”이라며 방사선 치료가 더 확대될 수 있을 것으로 기대했다.  

현재 실질적인 방사선치료를 실시할 수 있는 선형가속기는 국내 동물병원 4곳에서 운용하고 있다(서울동물영상종양센터·에스동물암센터·서울대동물병원·로얄동물메디컬센터).

황태성 경상국립대 교수는 “제주대 동물병원은 이미 기기를 들여 준비하고 있는 것으로 알고 있다”면서 “여러 지역의 동물병원에서 문의는 활발한 편”이라고 귀띔했다. 현재 서울과 영남권에 치우친 지리적 배치가 좀더 확대될 수 있길 기대할 수 있는 셈이다.

이날 전완 과장은 국민건강보험이 뒷받침하는 사람의 방사선 치료 수가 체계도 소개했다. ‘건강보험 수가를 보면 저분할 고선량 치료를 유도하고 있다’며 건강보험심사평가원이 부여하는 압력대로 현장의 의료가 휘둘리는 이른바 ‘심평의학’ 문제도 거론했지만, 급여 대상에 속한 방사선 치료비의 환자 부담은 단 5%에 불과한 만큼 대부분 걱정없이 치료를 받을 수 있는 것도 사실이다.

반면 반려동물에서는 수백만원에서 1천만원이 넘을 수 있는 방사선 치료비가 고스란히 보호자의 부담으로 다가온다. 여기에 반려동물보험(펫보험)의 역할이 있다는 지적도 나온다.

분할 치료로 진행되는 방사선 치료가 통원치료비를 보장하는 펫보험과 맞물려 다소간 보호자의 부담을 줄여주는데 효과가 있다는 것이다.

황 교수는 “국내 동물의 방사선치료비는 미국 동물병원 보다 훨씬 저렴하다. 사람 방사선 치료비와 비교해도 건강보험 지원금(95%)을 포함한 실제 금액보다는 낮다”면서도 “펫보험을 활용한다면 큰 도움이 될 것”이라고 덧붙였다.

국내 반려동물 생식사료 62개 조사해보니..H9N2형 조류인플루엔자 나왔다

국내에서 개·고양이용으로 유통되는 생식사료 제품을 조사한 결과 인수공통감염병인 조류인플루엔자(AI)가 검출됐다. 국내 가금농장에서 유행하고 있는 Y280계열 H9N2형 AI다.

바이오 펫푸드 스타트업 림피드의 공동창업자인 김창태 CTO는 이 같은 연구 결과를 국제 학술지 Veterinary Microbiology 최신호에 게재했다(교신저자 경북대 배슬기·권정훈 교수).

생식사료는 일부 반려동물 보호자 사이에서 인기를 얻고 있지만, 일반적인 사료와 달리 열처리 등을 거치지 않아 미생물 병원체 전파에 취약할 수 있다.

연구진은 2023년 7월부터 8월까지 국내 여러 온라인 판매처를 통해 개·고양이용 생식사료 제품 62종을 수집했다. 이들 제품 모두 한국에서 생산된 것으로 닭고기(37종), 오리고기(19종), 혼합육(6종) 등을 주재료로 제조됐다.

이들 제품을 대상으로 RT-PCR 유전자 검사를 실시한 결과 3개 검체가 AI 양성반응을 보였다. 이중 2개 검체에서 살아있는 AI 바이러스가 분리됐다.

이들 바이러스를 대상으로 실시한 차세대염기서열(NGS) 분석에서 H9N2형 저병원성 AI가 확인됐다. 2020년 이후로 국내에서 유행하고 있는 Y280계열 H9N2형 AI 바이러스와 97% 이상의 높은 유전적 상동성을 보였다.

국내 가금농장에서 유행하는 저병원성 AI 바이러스가 불활화되지 않은 채 생식사료에 남아 있는 것으로 볼 수 있다.

H9N2형 AI 바이러스가 검출된 생식사료 2종은 모두 개를 위한 제품이었다. 한 제품은 한국산 닭고기로, 나머지 한 제품은 한국산 오리·소·닭고기와 칠레산 양고기로 구성된 혼합육 제품이다.

연구진은 “검출된 바이러스에서 포유류 적응과 관련된 18개의 변이가 발견돼, 반려동물뿐만 아니라 사람으로의 전파 가능성도 배제할 수 없다”고 지적했다.

H9N2형 AI 바이러스는 2015년 이후 전세계적으로 133건의 인체 감염 사례가 보고된 바 있다. 이중 사망 사례는 2건에 그치고, 국내에서는 아직 발병 보고는 없지만 잠재적 위험을 내포하고 있다.

앞서 2023년 서울시내 고양이에서 발생한 H5N1형 고병원성 AI에서도 오리고기가 주요 원인으로 추정된 바 있다. 당시 관악구 발생시설에서 수거한 오리고기 포함 사료에서 고병원성 AI 바이러스가 검출되면서다.

젖소를 중심으로 포유류에서 H5N1형 고병원성 AI가 확산되고 있는 미국에서도 관련 사례가 이어지고 있다. FDA 등 현지 당국에 따르면 지난 9월 샌프란시스코에서 생식사료를 먹은 고양이가 H5N1형 AI 감염으로 안락사됐고, 해당 제품에서 H5N1형 AI가 검출되기도 했다.

연구진은 HACCP 등 국내 가금류의 안전관리가 살모넬라균 등 세균성 위해요소에 초점을 맞추고 있어 바이러스에 대한 관리가 미흡할 수 있다고 우려했다. 가열하지 않는 반려동물 사료에는 방사선을 조사해 멸균하도록 규정돼 있지만, 이번 연구에서처럼 살아있는 AI 바이러스가 발견된 것은 멸균 공정 관리가 미흡했을 가능성을 시사한다.

김희수 림피드 대표는 “한국 펫푸드의 AI 바이러스 오염을 체계적으로 조사해 발표한 첫 연구”라며 “생식사료에서 H9N2를 검출한 것은 글로벌 관점에서도 첫 사례로 보이며, 생식사료가 다양한 아형의 AI 바이러스를 전파하는 경로가 될 수 있음을 입증했다”고 설명했다.

이어 “미국에서 지난해말부터 생식사료 관련 H5N1형 고병원성 AI 감염이 연이어 보고되는 상황에서, 반려동물 사료도 공중보건 관리 대상에 포함되어야 함을 제시한 연구”라고 강조했다.

‘신장 생리부터 신장대체치료까지’ 수의응급중환자의학회 학술 세미나 열린다

한국수의응급중환자의학회(KVECCS)가 오는 12월 6일(토)과 7일(일) 양일간 서울 유한양행 본사에서 학술 세미나를 개최한다.

첫 날인 6일에는 보호자 세미나와 RECOVER 워크숍이 진행된다.

배우인 문정희 작가가 ‘마누이야기’ 북 콘서트로 보호자 세미나의 문을 연다. 지난달 대구에서 열린 FASAVA 2025 콩그레스에서도 큰 호응을 얻었던 문정희 작가의 북 콘서트에서는 반려견 마누와 보낸 시간, 펫로스, 기록의 의미 등을 진솔하게 전할 예정이다. 반려견 마누가 갑작스러운 기력저하로 응급내원했던 이야기도 이번 수의응급중환자의학회 행사의 주제와 맞닿아 있어 더욱 주목된다.

북 콘서트 이후에는 일산동물의료원 백지선 응급중환자의학과장과 구윤회 경북대 교수가 반려동물 보호자가 알아 두어야 할 심폐소생술(CPR)을 교육한다. 보호자들이 더미를 활용해 CPR을 실습해볼 수 있는 기회도 제공할 예정이다.

보호자 100명을 선착순으로 모집한다. 구글폼을 통해 사전 신청할 수 있다.

이튿날은 수의사 대상 학술 세미나가 이어진다. 이번 세미나는 신장에 초점을 맞춰 신장의 생리부터 신장대체치료(RRT)까지 조명한다.

미국수의내과전문의인 매리 라바토 터프츠 대학 교수가 복막 투석을, 김민수 서울대 교수가 비뇨기계 생리 및 관련 응급 대응을, 미국수의응급중환자과전문의인 허지웅 노스캐롤라이나 주립대 교수가 혈액투석·혈장교환술·혈액관류 등 체외치료(extracorporeal therapies)를 주제로 강연에 나선다.

패널 디스커션을 확대한 점도 눈길을 끈다. 수의응급중환자과의 국내외 전문가 9인이 패널로 나서 비뇨기 응급수술과 혈액투석 증례, 급성신장손상(ACKD) 대응의 최신 지견을 논의한다.

수의사 대상 학술 세미나는 선착순 150명이 등록할 수 있다. 사전등록 등 자세한 사항은 본지 캘린더에서 확인할 수 있다.

수의사 대상 학술 세미나 프로그램

이한희 기자 hansoncall911@gmail.com

‘동물과 맞닿는 삶 속 인간-동물관계’ 국제 심포지엄 열린다

수의인문사회학 분야의 국내외 연구자들이 한국에 모인다.

서울대학교 수의인문사회학 연구실은 오는 12월 6일(토) 서울대 수의대 스코필드홀에서 수의인문사회학 국제 심포지엄을 개최한다고 16일 밝혔다.

‘동물과 맞닿는 삶 속 인간동물관계(At the Animal Contact Zone)’를 주제로 열릴 이번 심포지엄에서는 국내외 연구자들의 수의학의 인문·사회적 확장을 함께 모색한다.

기조강연에 나설 포항공대 김기흥 교수는 2023~2024년 벌어진 산양 떼죽음 사건을 통해 접촉지대 회복의 중요성과 필요성을 소개한다.

이후 한국, 독일, 오스트리아, 캐나다의 인간동물학 연구자들의 발표가 이어진다. ▲동물과 수의사 ▲돌봄이라는 관계 ▲동물과 식량 생산의 3개 세션으로 진행된다.

동물 환자와 그 죽음을 대하는 수의사들의 경험과 자세, 동물과 보호자들이 맺는 ‘돌봄’의 관계, 식량 생산에서 필요 없는 동물들과 관련된 사회적·윤리적 문제를 통합적으로 조망한다.

수의인문사회학(Veterinary Humanities & Social Sciences)은 인간과 동물이 맞닿는 다양한 공간과 맥락에서 동물의 존재, 질병, 돌봄, 죽음 등이 갖는 의미를 다층적으로 탐구하는 실천적 학문으로 주목받고 있다.

오랜 기간 가축으로, 실험동물로 활용된 동물은 생명과학이나 인간중심적 시각 속에서 수동적인 객체나 좀처럼 보이지 않는 존재로 여겨져 왔다.

하지만 기후위기, 인수공통감염병 등의 위협이 점차 심화되면서 인간과 동물의 관계도 새롭게 성찰해야 할 필요가 있다는 것이 수의인문사회학의 시각이다. 수의학의 사회적 역할이 보다 확장되는 학문적 움직임이기도 하다.

이번 심포지엄은 서울대학교 지원프로그램 [대학원생 주도 국제 심포지엄]의 일환으로 열린다. 11월 23일(일)까지 사전 등록을 접수하며, 참가비는 무료다.

주최 측은 “융합 학문의 정체성과 가능성을 국내외로 확산시키고, 인간-동물 관계와 수의인문사회학에 대한 복합적 논의의 지평을 넓히고자 한다”면서 “대학원생을 중심으로 차세대 연구자들이 국제적 담론 속에서 학문적 리더십을 함양할 수 있는 실질적 기회가 될 것”이라며 많은 관심과 참여를 당부했다.

국경없는수의사회, 라오스 국립대 감염병 진단 인프라 개선 중장기 협력

국경없는수의사회(VWB, 대표 김재영)가 라오스 국립대학교 농과대학 수의학과와 광견병 및 인수공통감염병 대응 역량 강화를 위한 중장기 협력 청사진을 그렸다.

양측은 13일(목) 라오스 국립대 농대 회의실에서 회의를 열고 향후 협력 방안을 구체화했다.

△광견병 항체가 조사 및 감염병 모니터링 △진단 실험실 구축 △수의사·학생 대상 교육 프로그램 △협력 공간 설치 등 다양한 분야에서 협력을 확대할 방침이다.

이날 양측은 라오스, 베트남, 한국에서 진행 중인 광견병 항체가 조사 결과를 공유하면서 지역별 예방 수준을 객관적으로 평가해야 한다는 점에 주목했다. 광견병뿐만 아니라 디스템퍼·파보·진드기 매개질환 등 기타 감염병도 함께 분석해, 국제 공동 연구 결과를 논문으로 발전시키기로 했다.

국경없는수의사회가 이번 봉사에서 사용했던 신속진단키트는 라오스 수의대에 기증해 지속적으로 활용하고, 양성 검체는 연세대 전보영 교수팀과 협력해 정밀 분석할 계획이다.

아울러 양측은 라오스 내 감염병 진단 인프라가 제한적이라는 점에 착안해 향후 3~5년간 감염병 진단 실험실을 단계적으로 확충하는데 협력한다. △브루셀라 혈청 검사 △광견병 항체·항원 검사 △분자진단(PCR)을 차례로 도입할 방침이다.

국경없는수의사회 김재영 대표는 “라오스에서 광견병과 인수공통감염병을 효과적으로 관리하려면 진단 인프라가 반드시 필요하다”며 “라오스 수의대와 함께 현실적이고 지속 가능한 로드맵을 만들어가겠다”고 말했다. 한국 측은 실험실 세팅 노하우와 장비 확보를 지원하고, 라오스 측은 공간 제공과 운영 인력을 배치하는 형태다.

라오스 농대 학장단은 학내에 국경없는수의사회와 연계된 공식적인 공간을 마련하는 방안을 제안했다. 상근 인력 배치가 현실적으로 어려운 점을 고려해 ‘학생중심의 동아리 형태 + 명패 설치’ 방식으로 먼저 추진한다.

완나펀 풋타나 학장은 “캐나다의 국경없는수의사회는 3년 활동 후 철수했지만, 한국의 국경없는수의사회는 매년 찾아와 관계를 이어왔다”며 “지속적 파트너십을 상징하는 공간을 만드는 것은 매우 의미 있는 일”이라고 강조했다.

또한 양측은 내년부터 수의사·수의대생 대상 심포지엄을 정례화하는 데 합의했다. 광견병·인수공통감염병, 내과·대동물 진료, 동물행동학 등 강의가 포함될 예정이며, 라오스 농대는 이를 계속교육(CE) 플랫폼으로 발전시키겠다는 뜻을 밝혔다.

한편, 앞서 국경없는수의사회 활동을 지원한 포드는 향후 동물의료봉사 차량 지원을 확대하기로 결정했다. 내년에 차량 제공 규모를 더 늘려 봉사단의 이동과 장비 운송을 지원할 계획이다. 양측은 이번 협력이 민·학·NGO가 참여하는 지역 공중보건 협력 모델로 확대될 것으로 기대하고 있다

김재영 대표는 “기업·대학·NGO가 함께 라오스 공중보건 개선에 기여하는 모델이 될 것”이라며 “광견병 근절을 위해 다양한 파트너와 협력을 넓혀가겠다”고 말했다.

이한희 기자 hansoncall911@gmail.com

[위클리이슈] 대한수의신경학회 창립+사설보호소 찾은 민주당 지도부 등

지난주 수의계 이슈를 빠르게 돌아보는 ‘위클리이슈’입니다. 2025년 11월 셋째주에는 어떤 일들이 있었을까요?

https://www.dailyvet.co.kr/v/263200

https://www.dailyvet.co.kr/v/262946

https://www.dailyvet.co.kr/v/262932

https://www.dailyvet.co.kr/v/262559

https://www.dailyvet.co.kr/v/263179

https://www.dailyvet.co.kr/v/263149

[최민철의 초음파 이야기] 고양이 복부초음파 기초스캔 : 비장

이번에는 고양이의 비장에 관하여 초음파 스캔에서 중요한 요점을 알아보겠습니다.

고양이의 비장은 좌측 복벽에서 위의 분문과 가까이 위 아랫부분에 그리고 좌측 신장의 앞쪽 부분에 위치합니다(그림 1).

비장을 스캔하기 위해, 환자의 위치를 우측 외측상 혹은 등쪽을 눕힌 자세(dorsal recumbency)로 위치시킵니다. 비장이 비교적 얕은 부위에 존재하므로 고주파 프로브를 사용하는 것이 좋습니다. 비장은 머리부터 꼬리까지 철저히 횡단면, 종단면으로 스캔합니다.

그림1. a) 건강한 수컷 고양이의 좌측 상복부에서 linear transducer로 스캔한 비장. 1. 비장, 2. 위 분문부위, 3. 신장 피질, 4. 신장의 수질
b) convex transducer로 스캔한 비장. 1. 비장, 2. 위의 내강, 3. 위의 추벽

스캔 시 비장의 모양은 혀(tongue) 모양을 가지며, 꼬리부분이 머리 부분과 몸통보다 넓습니다. 횡단면은 삼각형 모양으로 개의 비장보다 작으며, 위치가 일정합니다. 비장의 머리 부분은 위비장 인대에 의해서 위에 고정되어 있으며, 몸통과 꼬리는 많은 유동성이 있으나, 그 유동성의 정도는 개보다 적습니다. 건강한 고양이에서 비장은 얇고, 고에코성의 캡슐표면으로 부드러운 모양으로 잘 확인이 되며, 깨끗한 경계 부위를 가집니다. 비장의 실질은 치밀하고 동질성의 미세한 과립성의 echotexture를 가집니다(그림 2).

그림2-1. 건강한 수컷 고양이의 비장으로 머리, 몸통과 꼬리부분이 스캔된 사진 
그림2-3. 건강한 수컷 고양이의 비장으로 머리, 몸통과 꼬리부분이 스캔된 사진

비장의 에코성(echogenicity)은 간과 신장의 에코성과 비교에서 간보다는 높고, 신장보다는 약간 낮습니다(그림 3). 2), 3)

그림 3. (a, b) 비장과 간의 상대적인 에코성은 간과 비교해서 약간 높음.

비장의 측정에서 가장 신뢰할 만한 것은 비장의 머리부분을 재는 것이었습니다. 그러나 최근 권장된 최종 프로토콜에는 혈관이 내장 표면에 보일 때 횡단면에서 비장의 근위 1/3 높이를 측정하는 것을 추천합니다.4) 이때 5.1~9.1mm가 되며, 9.1mm 초과 시에는 비장의 비대를 뜻합니다(표 1).

1) 비장의 비대: 1)

개의 비장은 혈관동(sinusoidal)의 구조로 큰 저장능력이 있어서, 크기 모양의 변화가 고양이의 비장보다 큽니다. 고양이 비장은 비혈관동이어서 생리학적 반응이 덜합니다. 따라서 고양이의 비장종대는 개보다 임상학적으로 더 의의가 있습니다.

비장의 비대를 일으키는 경우는 골수외조혈(extramedullary hematopoiesis), 만성빈혈, 면역매개성 용혈성빈혈, 감염증(feline leukemia virus, FIP, mycobacteriosis, bacterial splenitis, leishmaniasis 등), 곰팡이 감염증(histoplasmosis), nodular hyperplasia, 신생종양(mast cell tumor, lymphoma, plasmacytoma), 말단비대증(acromegaly), hypereosinophilic syndrome, hematomas, erythroid leukemia, myelodysplastic syndrome, myeloproliferative disease, vascular compromise 등입니다. 그리고 간 질환의 속발성으로 나타나는 정맥울혈에서도 비장 비대를 볼 수 있습니다.

2) 비장의 신생물(neoplasms)1)

고양이에서 가장 흔한 종양은 mast cell tumor(비만세포종)와 lymphoma입니다.4)

림포마 환자에서 가장 흔한 소인은 비장의 비대입니다. 비장의 실질은 편만한 저에코성과 얼룩덜룩한 형태의 병소를 보이며, 적은 여러 개의 저에코성 병소부터 독립적인 저에코성의 종괴로 나타납니다. 어떤 경우는 비장의 종괴 혹은 비장의 비대가 없이 실질의 에코가 떨어져 보이기도 합니다. 그리고 복수와 복강내 림프절 크기 종대, 간의 이상증이 같이 나타납니다.

그림4.
a) 거세 수컷 고양이에서 나타난 lymphoma. 1. 비장, 2. 비장림프절, 3. 소장분절, 비장은 저~중등도의 비장비대를 보이며, 실질은 저에코성의 병소를 나타내 보임.
b) 수컷 고양이에서 나타난 lymphoma. 1. 비장, 2. 간, 3. 담낭, 약간의 비장비대와 함께 실질에서 이질성을 보임.
c) 수컷 성묘에서의 나타난 lymphoma. 비장의 몸통에서 경계부위가 뚜렷하지 않은 한 개의 저에코성의 결절을 보임.
d) 6살 암컷 고양이에서 나타난 lymphoma. 실질의 이질적인 형태와 여러 개의 저에코성의 병소를 보임.

비장의 비만세포종을 보이는 27마리 개의 초음파학적 변화는 림포마 환자와 유사했습니다. 비장비대를 보이며, 몇몇 경우는 커다랗고 고에코성의 결절을 가진 결절성 비장의 형태를 보입니다(그림 5). 그리고 간의 변화와 복수가 동반됩니다.

림포마와 비만세포종의 차이는 다음과 같습니다. 림포마에서 보다 많은 복수를 보이고(47% vs. 33%), 장간막이나 후복강 림프절병증(lymphadenopathy)도 많이 나타납니다(37% vs. 3%). 비만세포종에서는 비장이 불규칙한 형태를 보이고 고에코성의 병변을 보입니다. 작은 고에코성의 결절이나 편만한 고에코성은 잘 나타나지 않는 소견이지만, 보이면 비만세포종을 의미합니다.2)

혈관육종(hemangiosarcoma)은 고양이에서 드물지만, 일반적으로 23%의 환자에서 다발성 병변으로 나타납니다. 이들은 초음파학적으로 고에코성 혹은 저에코성의 병변으로 보이며, 몇몇은 복수를 동반하고 무에코성의 병소를 나타내 보입니다(그림 6).

그림5. 16살 수컷 고양이의 비장 초음파영상. 고에코성의 불규칙한 표면과 그 뒤에 나타나는 음향 그림자를 통해 석회화(calcification)를 볼 수 있음. 세포학적 진단 결과는 비만세포종(mast cell tumor)이었고, 동시에 영양장애성 석회화(dystrophic calcification)를 보임.

그림6. (a, b) 12살 수컷 고양이의 좌측 전복부에서 보이는 해면모양(cavernous)의 양상과 불규칙하나 복부 종괴의 영상. 이 종괴는 비장의 머리 부분에서 기원하여, 가는 줄기를 통해 비장에 부착되어 있음. 최종 진단은 혈관육종(hemangiosarcoma)이었음. c) 같은 환자에서 비장의 몸통에서 경계가 명확하고 저에코성의 결절이 관찰되었으며, 비장 캡슐의 복측면을 변형시키고 있음. d) 같은 환자에서 중증도의 복수가 존재하며, 복막반응과 관련한 혈복강이 동반되었음.

3) 비장의 EMH와 lymphoid hyperplasia

골수외조혈(EMH)과 lymphoid hyperplasia도 비장비대를 보이며, 정상적인 에코성을 보입니다(그림 7). 몇몇 환자에서는 국소적인 결절이나 직경이 0.7~3cm의 저에코성의 종괴를 보입니다. 다른 환자에서는 얼룩덜룩한 모양의 저에코성 실질이 보이기도 합니다.

그림7. a) 11살 고양이에서 삼중염(triaditis)을 가진 비장몸통. 약간의 비장 비대와 동질성(homogenous)의 실질을 보임. FNA를 통해서 lymphoid hyperplasia로 진단되었음. b) 4살의 담낭염이 있는 암컷 고양이의 비장. 비장비대와 함께 얼룩덜룩한 실질모양을 나타냄. 세포학적으로 lymphoid hyperplasia로 밝혀짐. 1. 비장, 2. 간, 3. 담낭, 4. 비장정맥, 5. 결장.

고양이에서 “좀 먹은(moth-eaten)” 모양의 얼룩덜룩한 비장의 모양은 정상 고양이에서도 나타나며, 다른 병적 상황인 lymphoid hyperplasia, EMH, 수동적 울혈(passive congestion), carcinoma, histiocytic sarcoma, 비만세포 침윤과 granulomatous splenitis에서도 나타날 수 있습니다.2), 5), 6), 7)

4) 비장의 국소적 결절들과 종괴들8)

비장의 국소적 병변은 실질내 편만하게 에코성의 변화가 있는 것 보다 쉽게 발견됩니다(그림 8). 국소적 혹은 여러 국소적인 비장 결절들은 개와 마찬가지로 고양이에서도 흔하지 않습니다. 발생 시에는 정상 비장의 실질보다 등에코성 내지 저에코성을 보입니다.

그림 8-1. 비장 종양. (a, b) 10세 중성화된 암컷 고양이에서 전이성 비만세포종(metastatic mast cell neoplasia)으로 인해 미만성의 저에코성 비장 내에 다수의 큰 종양(화살표)이 존재함.
(c) 11세 중성화된 수컷 고양이에서 림프종(lymphoma)으로 인해 이질적인 비장 종양(화살표)이 관찰됨. 복부 내 림프절 비대와 소량의 복수도 확인됨.
(d) 12세 중성화된 암컷 고양이에서 암종증(carcinomatosis)과 관련된 비장 꼬리 부분에 크고 잘 경계된 종양(측정 캘리퍼 사이)이 존재. 종양은 나머지 비장 실질에 비해 등에코성을 보이며, 편심적으로 위치한 이질적인 무에코 영역 또한 있음. 3개월 전 시행한 초음파 검사에서는 비장이 정상으로 확인되었으며, 전이성 또는 가능성 있는 원발성 신생물성 비장 질환이 가장 가능성 높은 감별 진단으로 고려됨.
그림 8-2. 비장 종양. (e) 약 3cm 직경의 크고 명확한 종양(화살표)이 꼬리에서 관찰됨. FNA 결과 nodular lymphoid hyperplasia로 나옴.

5) 기타 비장의 양성 병소들8)

Hematomas(혈종): 비장의 혈종은 외상이나 응고증 혹은 종양과 관련해서 발생되며 실질내 또는 비장의 캡슐 아래에서 나타납니다. 그리고 나이에 따라서 복잡한 모양으로 나타나며 양성 혹은 악성의 상황과 비슷합니다. 그러나 이들은 전형적으로 시간이 지나면서 작아지고 몇 달 안에 없어지는 것이 일반적입니다. 이점이 종양과 다릅니다. 종양은 크기가 일반적으로 커집니다.

Myelolipoma(골수지방종) 와 다른 고에코성 병소들: 나이든 고양이나 치타를 포함한 다른 고양잇과에서는 잘 구분되는 고에코성의 결절을 실질 내 혹은 비장 경계부위에서 볼 수 있습니다. 이는 myelolipoma로 알려진 지방의 결절을 말하며, 우연히 발견됩니다. 이들은 단독 혹은 여러 개의 결절로 구성되어 있으며 때로는 희미한 음향 음영(acoustic shadowing)을 나타내기도 합니다(그림 9).

그림 9. 비장의 myelolipomas. a) 비장내 경계가 명확한 고에코성의 결절이 보이며, 그중 가장 큰 것은 원거리의 음향 그림자를 보임. b) 거의 1cm 직경의 커다란 또렷한 고에코성의 결절이 비장 몸통 내에 있다. 중증도의 원거리 음향 그림자가 뚜렷함.

비장은 비교적 좌측 복부의 얕은 부위에 있으므로, 초음파는 비장 병변을 검출하는 데 비교적 민감하지만, 다양한 비장 질환에서 영상이 상당히 중복되는 경우가 많아서 특이도는 낮습니다. 따라서 정상, 양성, 악성 변화를 구별하는 것이 항상 가능한 것이 아니므로, 가능하면 정확한 진단을 위해 세포조직학적 검사를 고려해야 합니다.

참고문헌:

1. Torroja RN, Miño ED, Gerlach YE, Pereira YM, Restrepo MT: Diagnostic ultrasound in cats. Servet. 2015. Spain, pp. 133-146.

2. Hanson JA, Papageorges M, Girard E, et al. Ultrasonographic appearance of splenic disease in 101 cats. Vet Radiol Ultrasound 42: 441–445, 2001.

3. Sayre RS and Spaulding KA. Formulation of a standardized protocol and determination of the size and appearance of the spleen in healthy cats. J Feline Med Surg 16: 326–332, 2014.

4. Spangler WL, Culbertson MR: Prevalence and type of splenic diseases in cats: 455 cases(1985-1991). J Am Vet Assoc. 201:773-776,1992.

5 Bertal M, Norman Carmel E, Diana A, et al. Association between ultrasonographic appearance of splenic parenchyma and cytology in cats. J Feline Med Surg 20: 23–29, 2018.

6. Quinci M, Sabattini S, Agnoli C, et al. Ultrasonographic honeycomb pattern of the spleen in cats: correlation with pathological diagnosis in 33 cases. J Feline Med Surg 22: 800–804, 2020.

7. Sato AF and Solano M. Ultrasonographic findings in abdominal mast cell disease: a retrospective study of 19 patients. Vet Radiol Ultrasound 45: 51–57, 2004.

8. Griffin S: Feline abdominal ultrasonography: what’s normal? What’s abnormal? J Feline Med Surg 23:241-255, 2021.

최민철의 초음파 이야기 더보기

과학적·비강압적·인도적 동물 훈련 기준 확립 위한 연대, HATA 공식 출범

“보상 기반 훈련이 위협과 압박을 이용한 훈련보다 효과와 복지면에서 더 바람직합니다. 과학적이고 검증된 지식을 기반으로, 인도적인 방법으로 교육해야 합니다”

과학적·비강압적·인도적 동물훈련 기준 확립을 목표로 하는 단체 ‘HATA(Humane Animal Training Alliance, 인도적 트레이닝을 위한 연대)’가 발족했다. 수의사, 트레이너(훈련사) 등 관련 전문가가 함께한다.

HATA 발대식이 16일(일) 성공회대학교에서 ‘인도적인 트레이닝을 위한 함께 선언’을 주제로 열렸다. 이날 발족식에는 동물행동의학 수의사, 동물 트레이너(훈련사), 그루머, 보호소 종사자, 동물 관련 전공자·학생들이 참석했다.

HATA(공동대표 이순영·이규상)는 폭력·강압 중심의 구식 훈련 방식이 여전히 사회 곳곳에 남아 있는 현실 속에서, 동물과 사람 모두에게 안전하고 더 나은 삶을 제공하고 과학적 근거와 검증된 방법을 최우선 가치로 삼는 트레이닝 문화를 정착시키기 위해 만들어진 비영리 단체다.

발대식은 ▲HATA 발족 이유 및 활동 방향 소개 ▲입장문 발표 ▲협약식 ▲토크콘서트 순으로 진행됐다.

이순영 HATA 공동대표는 “종사자에 의한 동물학대 사고에서 가장 흔하게 나오는 답변이 ‘동물을 훈육하려고 했다’는 거다. 훈육이 (동물학대에) 흔한 변명거리가 되고 있다”며 HATA 발족 이유를 설명했다.

그는 “우리나라에서 동물과 관련된 어떤 기관이나 단체에서도 동물 훈련을 할 때 어떻게 인도적으로 해야 한다는 기준을 공식적으로 마련한 곳이 없다”며 “인도적인 트레이닝을 위한 원칙을 함께 만들기 위해서 태어난 단체가 바로 HATA”라고 말했다. 우리나라도 동물 교육·훈련에 대한 바람직한 기준이 필요한 상황에서 전문가들이 모여 화두를 던진 것이다.

HATA의 가치와 철학은 크게 5가지 키워드로 압축된다(삶의 질 향상, 과학적 근거, 인도적 접근, 동료와 연대, 다양성과 존중).

이순영 대표는 “훈련의 목적은 동물을 이용하고 통제하는 게 아니라 동물과 인간 모두의 삶의 질을 더 나아지게 만드는 데 있어야 한다”며 “과학적이고 검증된 지식을 기반으로 훈련 방법을 선택해야 하며, 항상 인도적인 접근이 무엇인지 우선 고려해야 한다”고 강조했다.

또한 “전문가 집단은 서로 경험을 나누고 더 나은 방법을 함께 찾는 연대가 되어야 한다”며 “서로가 다름을 인정하고 존중하는 태도로 협력하겠다”고 덧붙였다.

HATA는 앞으로 ▲과학적 근거 기반의 훈련, 행동 관리 기준·가이드라인 마련 및 정책 제안 ▲동물훈련·복지 이슈에 대해 공동 성명·입장문 발표, 언론 홍보 및 캠페인을 통한 사회적 인식 개선 ▲반려동물 행동 교육에 관한 공동 활동(세미나, 워크숍, 교육 프로그램 등) 크게 세 가지 분야에서 활동할 계획이다.

HATA는 이날 ‘인도적인 트레이닝에 대한 입장문’도 공개했다. 아래는 입장문 전문이다.

HATA 인도적인 트레이닝에 대한 입장문

이날 HATA는 성공회대학교 시민평화대학원 동물권과 사회 연구 전공(교수 박경태)과 한국반려동물행동의학협회(KABA, 회장 나응식)와 협약을 체결했다.

세 단체는 앞으로 윤리적이고 과학적인 동물 훈련과 동물복지 향상을 위해 연구·교육·사회공헌 활동에서 서로 협력하기로 했다.

특히, 동물행동의학 전문 수의사들로 구성된 KABA는 학문적 지원과 연구 인력 제공, 교육 프로그램 개발 및 평가를 담당할 예정이다.

왼쪽부터) 나응식 KABA 회장, 이순영 HATA 공동대표

협약식에 이어 전문가들이 참여하는 토크 콘서트가 이어졌다.

토크 콘서트는 ‘함께 만드는 훈련 문화: 동물과 사람을 위한 선택’을 주제로 열렸으며, 설채현 수의사(놀로 행동클리닉), 최태규 대표(곰보금자리프로젝트), 김동훈 변호사(법률사무소리그), 이형주 대표(동물복지문제연구소 어웨어), 이순영·이규상 HATA 공동대표가 패널로 참여했다. 사회는 두보아카데미 홍석민 대표가 맡았다.

이들은 ‘1부 현실: 강압적 훈련과 인도적 훈련의 현주소’, ‘2부 미래: 우리가 함께 만들어 가야 할 변화’를 주제로 이야기를 나눴다.

패널들은 우리나라 동물훈련 문화의 현실과 앞으로의 방향에 대해 깊이 있는 논의를 나눴으며, 질의응답을 통해 참석자들과 고민을 공유했다. 이날 토크콘서트에는 수의사, 수의대생, 동물훈련 종사자, 예비 종사자, 동물 관련 학과 재학생 등 130여 명이 함께했다.

HATA는 “발대식을 계기로 우리나라 동물훈련 문화에서 새로운 변화를 이끌어가는 역할을 본격적으로 추진하겠다”며 “동물훈련의 제도적 기반을 강화하기 위해 정부·학계·전문가 그룹과의 협력을 확대할 것”이라고 밝혔다.

한편, 현재 HATA에는 수의사, 트레이너, 행동 전문가, 연구자, 교육자, 업계 종사자 등 170여 명이 참여하고 있다. 누구나 HATA 홈페이지를 통해 연대에 참여할 수 있다.

전남대 수의대, AI 손잡고 ‘미래 수의사’ 키운다

전남대학교 수의과대학(학장 박상익)이 9월부터 11월까지 본과 2학년 학부생과 대학원생을 대상으로 AI(인공지능) 융합형 수의학 학·석사 연계 진학 유도 프로그램을 3차례에 걸쳐 운영했다. 이번 프로그램은 학생들이 현장에서 직접 배우고 연구 역량을 키우며, 자연스럽게 대학원 진학으로 연계될 수 있도록 설계됐다.

첫 번째 프로그램은 9월 18일(목) 강진에 위치한 전라남도동물위생시험소에서 시작했다.

참가자들은 시험소의 역할과 조직 구조, 국가 방역체계 내에서 수의사의 역할에 대한 정지영 소장과 임형주 과장의 특강을 들었다. 이후, 가축질병 진단 및 위생 검사 실습, 도축 검사와 잔류물질 검사 과정 체험, 인수공통감염병 감시 체계 시연 등을 통해 방역 행정의 전 과정을 실무적으로 이해했다.

특히 이번 체험에서는 AI 기반 질병 예측·진단 프로그램을 직접 활용하여, 실제 가축 질병 발생 데이터를 기반으로 한 진단 알고리즘 실습이 이뤄졌다. 학생들은 진단 정확도 비교 실험과 데이터 기반 정책 시뮬레이션을 시행하며, 기존 임상 중심 수의학 교육에 기술 융합적 시각을 더했다.

또한, 방역 현장에서 수의사가 수행하는 위기 대응 의사결정 과정, 현장 모니터링 절차, 시료 채취 및 분석 기술 등을 직접 배우며, 방역 행정과 연구가 연결되는 구조를 경험했다.

본과 2학년 김병수 학생은 “수의방역 행정이 단순한 현장 업무가 아니라, AI 기반 예측 데이터를 활용해 위험을 선제적으로 관리하는 고도의 과학적 과정임을 깨달았다”며 “미래 수의사가 갖춰야 할 기술 융합적 역량의 중요성을 체감했다”고 소감을 밝혔다.

두 번째 프로그램은 10월 1일(수) 국립야생동물질병관리원과 전주천(전주시 덕진구)에서 진행됐다.

프로그램은 이날 오전 광주광역시 야생동물질병관리원에서 시작됐다. 이창규 원장의 인사말과 함께 기관의 설립 목적과 국내·외 질병 감시 체계 운영 현황이 소개됐으며, 권소희 연구사의 기관 소개 강연, 손기동 연구사의 생물안전연구동 투어가 진행됐다. 고위험 병원체를 다루는 연구 환경과 안전관리 시스템을 직접 살펴보는 시간이었다.

학생들은 2개 조로 나뉘어 야생동물질병 진단 교육, SFTS(중증열성혈소판감소증후군) 진단 및 진드기 동정 실습을 했다. 진단 과정에서는 실제 진드기 표본을 관찰하고, PCR 분석 장비를 이용해 병원체 검출을 수행했다. AI 기반 예측 모델을 활용한 질병 발생 지역별 위험도 분석 실습도 병행되어, 데이터 입력–AI 학습–결과 시각화까지의 전 과정을 체험했다.

오후에는 전주시 전주천으로 이동해 야생조류 예찰 및 모니터링 실습을 했다. 김대훈 전문연구원의 지도로, 조류인플루엔자(AI) 예찰을 위한 현장 관찰, 시료 채취, 조류 식별 및 행동 모니터링 교육을 받았다.

학생들은 실제 예찰 장비를 활용하여 야생동물 질병 조사와 AI 기반 감시 체계의 연계 구조를 이해했다.

두 번째 프로그램은 야생동물 질병의 공중보건학적 중요성을 체감하고, AI 진단 도구와 빅데이터 기반 생태 감시 기술의 실질적 응용 가능성을 배우는 계기가 됐다.

국립야생동물질병관리원과 전주천 실습에 참여한 이충도 대학원생은 “고위험 병원체를 다루는 생물안전연구동 투어와 SFTS 진단 실습은 연구자로서 큰 자극이 됐다”며 특히 “야생동물 모니터링 현장에서 얻은 데이터를 AI 모델에 적용해 위험도를 분석하는 과정을 통해, 연구의 실용적 가치와 공중보건 기여도를 명확히 이해할 수 있었다”고 말했다.

세 번째 프로그램은 11월 4일(화) 농협경제지주나주축산물공판장에서 진행됐다.

이날 프로그램은 축산물 유통 과정의 핵심 단계인 도축 및 등급판정 절차를 중심으로, AI 자동화 기술이 도입되는 현장을 직접 체험하는 형태로 운영됐다.

오전에는 공판장 관계자들의 환영 인사와 함께, 도축장의 산업적 역할 및 공중보건 기여도, 작업 안전 및 위생 관리 절차에 대한 강연이 이어졌다. 이후 학생들은 소 도축장, 계류장, 작업실, 예냉실 등 전 공정 견학을 통해 축산물 위생 관리의 전 과정을 관찰했다.

이어진 강연에서는 김범호 생산가공팀 팀장이 AI 기반 영상분석과 머신러닝을 활용한 도축 및 등급판정 자동화 기술의 실제 적용 사례를 설명했다. 참가자들은 기존 판정 방식과 자동화 시스템의 결과를 비교하며, 데이터 품질 확보·정책적 지원·산업화 과정의 과제에 대해 질의응답을 했다.

오후에는 전남대학교에서 박준규 교수가 ‘스마트그리드 기술 도입과 축산식품 위생의 미래’를 주제로 특강을 했다. 이 강연에서는 AI·IoT 기반 실시간 감시 체계를 활용한 축산물 품질관리 모델이 소개됐으며, 참가자들은 이를 기반으로 한 후속 연구 아이디어를 논의했다.

나주 축산물공판장을 찾은 본과 2학년 박가연 학생은 “도축 및 등급판정 현장에 AI 영상 분석 기술이 도입되는 것을 직접 보고 놀라웠다”며 “기존의 위생 검사 시스템이 어떻게 스마트 기술과 융합되어 더욱 효율적이고 객관적인 식품 안전망을 구축하는지 이해하는 소중한 경험이었다”고 평가했다.

이번 세 차례 프로그램은 단순한 현장 견학을 넘어, AI·빅데이터·MECA 산업과 수의학의 융합 실습을 중심으로 구성됐다. 학생들은 각 분야(방역, 야생동물, 축산유통)의 전문가들과 함께 데이터 기반 분석, 질병 예측 모델링, 기술 적용 현황을 직접 체험하며, 연구와 산업을 연결하는 실질적 경험을 쌓았다.

이를 통해 학부 단계에서부터 AI-수의학 융합 연구 역량을 강화하고, 대학원 진학 및 연구 참여로의 연계를 촉진함으로써 지능형 방역·진단 전문가 양성 기반을 다지는 계기가 됐다.

RISE 사업단 담당자인 김동일 부학장은 “이번 프로그램은 수의학 교육의 패러다임을 기술 융합형으로 확장하는 실질적 시도였다”며 “학생들이 현장에서 배우고 연구로 발전시켜, AI시대에 대응할 실무형 수의학 인재로 성장할 수 있도록 지속해서 지원하겠다”고 전했다.

한편, 이번 프로그램은 전남대학교 RISE사업단 지원으로 진행됐다.

박연우 기자 pyw2196@naver.com

종양 선별검사 ‘CancerVET’, 그린벳 통해 전국 동물병원 공급

AI 기반 수의진료보조 전문기업 메타디엑스가 동물진단검사 전문기업 그린벳(GreenVet)과 전략적 협력에 나서며, AI 기반 암 선별검사 서비스 ‘캔서벳(CancerVET)’의 전국 공급 체계를 공식 구축했다.

이번 파트너십을 통해 메타디엑스가 개발한 캔서벳은 전국 어디서나 동일한 품질과 신뢰도로 반려견 암 스크리닝 서비스를 제공할 수 있게 됐으며, 동물병원 진료 현장에서 암 검사 표준화의 새로운 모델을 제시하게 됐다.

캔서벳은 기체 크로마토그래피-질량분석기(GC-MS) 기술을 활용해 반려견 혈액 속 휘발성 유기화합물(VOCs)을 분석한다. 전혈을 특수 전처리하여 종양 유래 대사물질을 분리한 뒤, 질량분석기를 통해 정량 분석함으로써 종양 관련 대사 패턴을 포착한다. 이 데이터를 기반으로, 실제 임상 데이터로 학습된 AI 알고리즘이 반려견의 종양 보유 가능성을 예측한다.

2025년 8월 기준, 캔서벳의 AI 모델은 ▲정확도 92.5% ▲정밀도 91.9% ▲재현율 90.0%를 기록하며 높은 신뢰도를 입증했다.

캔서벳은 대부분의 기존 검사와 달리 전혈(Whole blood)을 직접 분석한다.

혈청(serum)이나 혈장(plasma) 분리를 위한 원심분리 과정이 필요 없어, 병원에서는 단순 채혈만으로 검사 의뢰가 가능하다. 또한 별도의 장비나 키트 구매, 유지보수 비용이 발생하지 않는다. 검사 과정은 모두 위수탁 형태로 메타디엑스 중앙검사소에서 진행된다.

수의사는 검사에 드는 시간을 줄이고, 보호자는 빠른 결과를 받아볼 수 있어 병원 진료 효율이 높아지는 것이 장점이다.

캔서벳 검사결과지(예시)

메타디엑스의 장기업 CTO는 “캔서벳은 반려견의 생명과 건강을 지키는 데 꼭 필요한 기준 검사로, 정기 건강검진 항목에 자연스럽게 포함될 수 있도록 설계됐다”며, “보호자들이 언제 어디서든 안심하고 검사를 받을 수 있도록 그린벳과 협력해 전국적인 검사 인프라와 바이오 물류 시스템을 마련했다”고 말했다.

캔서벳 검사는 그린벳을 통해 전국 동물병원에서 신청할 수 있으며, 채혈만으로 간편하게 검사가 진행된다.

캔서벳은 비침습적이고 신속하며 반복 검진에도 부담이 적은 암 선별 솔루션으로 평가된다.

양사는 이번 협력을 계기로 공동 연구 및 검사 인프라 고도화를 추진하며, 국내 반려동물 헬스케어 진단 시장의 새로운 표준을 세워나갈 계획이다.

메타디엑스는 AI 기술력과 대사체 분석 역량을 기반으로, 그린벳은 전국 병원 네트워크와 진단 전문성을 바탕으로 AI 기반 반려동물 정밀의학의 대중화를 함께 이끌어갈 예정이다.

나응식·설채현·이우장 등 나서는 동물행동학 토크콘서트 12월 개최

한국 반려동물 행동의학 협회(KABA, 회장 나응식)가 토크콘서트를 개최한다. 지난 7월 창립한 반려동물행동의학협회의 첫 번째 토크콘서트 행사다.

이번 행사는 반려동물의 행동 문제에 대한 심도 있는 논의와 해결책을 모색하기 위해 마련됐으며, 12월 7일(일) 건국대학교 학생회관 프라임홀에서 열린다.

수의사는 물론 수의대생, 훈련사, 동물보건사 및 반려동물 보호자도 참석할 수 있다. 반려동물행동의학협회는 동물행동학, 동물행동의학에 대한 올바른 문화가 자리 잡기 위해서는 수의사뿐만 아니라 다양한 반려동물 전문가 및 보호자도 실질적인 정보를 접해야 한다고 판단했다.

행사는 오후 1시부터 오후 6시까지 진행된다.

▲한국반려동물행동의학협회(KABA) 소개(나응식 KABA 회장) ▲개의 정신건강, 왜 중요한가(하이 반려동물 행동클리닉 이우장 원장) ▲보호자와의 관계에서 나타나는 문제행동의 이해(놀로 행동클리닉 설채현 원장) ▲피부질환과 행동 문제의 연결고리(서울대 수의대 황철용 교수) ▲병원에 온 강아지의 행복을 위한 수의사의 노력과 역할(충남대 수의대 송중현 교수) 강의에 이어 ‘행동학과 임상학의 만남’을 주제로 패널 토의 및 질의응답이 이어진다. 나응식 회장을 포함한 5명의 연자가 토론자로 나선다.

참가자 전원에게는 약 8만원 상당의 웰컴 키트(사료, 영양제, 간식 등)가 제공된다.

한국반려동물행동의학협회 토크콘서트는 온라인으로 사전 신청할 수 있다.

“백신 국산화·반려동물 신약 속도 높이려면..동물용의약품 심사 인력 늘려야”

농림축산식품부가 13일(목) 서울 양재동 aT센터에서 ‘제2차 농식품규제 합리화 전략회의’를 열고 규제혁신 과제를 논의했다.

이날 전략회의에서 수의 축산 분야로는 동물용의약품 성장 지원이 도마에 올랐다.

신약 개발단계에서 안전성·유효성 자료를 전문기관과 사전 점검하는 사전검토제를 도입해 자료 보완으로 인한 반복 심사를 줄이고 승인 절차를 신속화한다. 신약 개발 과정의 불확실성을 줄여 신속한 시장 진출을 도모하겠다는 것이다.

아울러 제조·품질관리기준(GMP)을 정비해 EU, 미국 등 선진국의 GMP 기준과 조화시켜나가는 것이 목표다.

이날 회의에 참석한 정병곤 한국동물약품협회장은 “수입에 의존하고 있거나 아직 개발되지 못한 구제역, 블루텅, 아프리카돼지열병(ASF) 등 주요 질병에 대한 백신의 국산화를 서둘러야 한다”면서 “반려동물에서도 의료 수준이 발전하면서 전문적인 의약품 수요가 높아졌다”고 말했다.

동물용 신약 개발에 대해서도 “줄기세포 등 법이 앞서가기 어려운 신약 개발 분야에서는 시행착오를 줄이고 개발 속도를 높이기 위한 가이드라인부터 필요하다”고 지목했다.

이를 위한 가장 중요한 해결 과제로는 조직·인력 확대를 꼽았다. 동물용의약품 품목허가를 심사할 인력이 절대적으로 부족하다 보니 속도를 낼 수 있는 여력이 없다는 것이다.

정병곤 회장은 최근 이재명 대통령이 인체용의약품 심사를 담당하는 식품의약품안전처의 심사 인력 300명 확대 요청을 수용한 것을 거론하며 동물용의약품 심사 인력도 함께 확충해야 한다고 제언했다.

동물용의약품의 개발·심사도 인체용과 본질적으로 같고, 세계 시장으로의 수출 경쟁력을 갖추려면 정부 조직·인력에 기반한 제도적 뒷받침이 필요하다는 것이다.

   

동물복지 개선 과제도 지목했다. 유실·유기동물 입양률을 높이기 위해 도심지역의 입양센터 설립을 지원한다. 기존의 입양시설 설치 지원 사업이 대부분 도심 외곽에 위치한 동물보호센터 부지 내 시설 증·개축을 지원하는 방식으로 진행되다 보니 입양희망자들의 접근성이 부족하다는 점에 초점을 맞췄다.

아울러 중성화 수술이 의무화된 맹견 등록에 대해 고령·질병 등으로 중성화가 어려운 맹견에 대해서는 예외를 인정한다.

최근 개정한 ‘사료 등의 기준 및 규격 고시’에 따라 개·고양이용 사료에 별도의 분류체계와 영양 기준을 마련하여 소비자 알 권리를 보장하고 펫푸드 산업 경쟁력 제고를 뒷받침한다는 점도 거론됐다.

송미령 장관은 참석자들의 의견을 청취하며 “현장에서 느끼는 불명확·불필요·불합리한 규제는 더 이상 관행으로 남겨두지 않겠다”면서 “시행령·시행규칙·고시 등 정부가 즉시 조치할 수 있는 사항부터 속도감 있게 정비하겠다”고 밝혔다.

Loading...
파일 업로드 중 ...