
이번에는 고양이의 비장에 관하여 초음파 스캔에서 중요한 요점을 알아보겠습니다.
1. 정상 해부학 및 초음파 해부학 1)
고양이의 비장은 좌측 복벽에서 위의 분문과 가까이 위 아랫부분에 그리고 좌측 신장의 앞쪽 부분에 위치합니다(그림 1).
비장을 스캔하기 위해, 환자의 위치를 우측 외측상 혹은 등쪽을 눕힌 자세(dorsal recumbency)로 위치시킵니다. 비장이 비교적 얕은 부위에 존재하므로 고주파 프로브를 사용하는 것이 좋습니다. 비장은 머리부터 꼬리까지 철저히 횡단면, 종단면으로 스캔합니다.

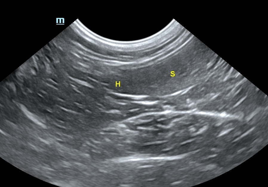
b) convex transducer로 스캔한 비장. 1. 비장, 2. 위의 내강, 3. 위의 추벽
스캔 시 비장의 모양은 혀(tongue) 모양을 가지며, 꼬리부분이 머리 부분과 몸통보다 넓습니다. 횡단면은 삼각형 모양으로 개의 비장보다 작으며, 위치가 일정합니다. 비장의 머리 부분은 위비장 인대에 의해서 위에 고정되어 있으며, 몸통과 꼬리는 많은 유동성이 있으나, 그 유동성의 정도는 개보다 적습니다. 건강한 고양이에서 비장은 얇고, 고에코성의 캡슐표면으로 부드러운 모양으로 잘 확인이 되며, 깨끗한 경계 부위를 가집니다. 비장의 실질은 치밀하고 동질성의 미세한 과립성의 echotexture를 가집니다(그림 2).



비장의 에코성(echogenicity)은 간과 신장의 에코성과 비교에서 간보다는 높고, 신장보다는 약간 낮습니다(그림 3). 2), 3)

비장의 측정에서 가장 신뢰할 만한 것은 비장의 머리부분을 재는 것이었습니다. 그러나 최근 권장된 최종 프로토콜에는 혈관이 내장 표면에 보일 때 횡단면에서 비장의 근위 1/3 높이를 측정하는 것을 추천합니다.4) 이때 5.1~9.1mm가 되며, 9.1mm 초과 시에는 비장의 비대를 뜻합니다(표 1).

2. 비장의 질환들의 초음파영상
1) 비장의 비대: 1)
개의 비장은 혈관동(sinusoidal)의 구조로 큰 저장능력이 있어서, 크기 모양의 변화가 고양이의 비장보다 큽니다. 고양이 비장은 비혈관동이어서 생리학적 반응이 덜합니다. 따라서 고양이의 비장종대는 개보다 임상학적으로 더 의의가 있습니다.
비장의 비대를 일으키는 경우는 골수외조혈(extramedullary hematopoiesis), 만성빈혈, 면역매개성 용혈성빈혈, 감염증(feline leukemia virus, FIP, mycobacteriosis, bacterial splenitis, leishmaniasis 등), 곰팡이 감염증(histoplasmosis), nodular hyperplasia, 신생종양(mast cell tumor, lymphoma, plasmacytoma), 말단비대증(acromegaly), hypereosinophilic syndrome, hematomas, erythroid leukemia, myelodysplastic syndrome, myeloproliferative disease, vascular compromise 등입니다. 그리고 간 질환의 속발성으로 나타나는 정맥울혈에서도 비장 비대를 볼 수 있습니다.
2) 비장의 신생물(neoplasms)1)
고양이에서 가장 흔한 종양은 mast cell tumor(비만세포종)와 lymphoma입니다.4)
림포마 환자에서 가장 흔한 소인은 비장의 비대입니다. 비장의 실질은 편만한 저에코성과 얼룩덜룩한 형태의 병소를 보이며, 적은 여러 개의 저에코성 병소부터 독립적인 저에코성의 종괴로 나타납니다. 어떤 경우는 비장의 종괴 혹은 비장의 비대가 없이 실질의 에코가 떨어져 보이기도 합니다. 그리고 복수와 복강내 림프절 크기 종대, 간의 이상증이 같이 나타납니다.

a) 거세 수컷 고양이에서 나타난 lymphoma. 1. 비장, 2. 비장림프절, 3. 소장분절, 비장은 저~중등도의 비장비대를 보이며, 실질은 저에코성의 병소를 나타내 보임.
b) 수컷 고양이에서 나타난 lymphoma. 1. 비장, 2. 간, 3. 담낭, 약간의 비장비대와 함께 실질에서 이질성을 보임.
c) 수컷 성묘에서의 나타난 lymphoma. 비장의 몸통에서 경계부위가 뚜렷하지 않은 한 개의 저에코성의 결절을 보임.
d) 6살 암컷 고양이에서 나타난 lymphoma. 실질의 이질적인 형태와 여러 개의 저에코성의 병소를 보임.
비장의 비만세포종을 보이는 27마리 개의 초음파학적 변화는 림포마 환자와 유사했습니다. 비장비대를 보이며, 몇몇 경우는 커다랗고 고에코성의 결절을 가진 결절성 비장의 형태를 보입니다(그림 5). 그리고 간의 변화와 복수가 동반됩니다.
림포마와 비만세포종의 차이는 다음과 같습니다. 림포마에서 보다 많은 복수를 보이고(47% vs. 33%), 장간막이나 후복강 림프절병증(lymphadenopathy)도 많이 나타납니다(37% vs. 3%). 비만세포종에서는 비장이 불규칙한 형태를 보이고 고에코성의 병변을 보입니다. 작은 고에코성의 결절이나 편만한 고에코성은 잘 나타나지 않는 소견이지만, 보이면 비만세포종을 의미합니다.2)
혈관육종(hemangiosarcoma)은 고양이에서 드물지만, 일반적으로 23%의 환자에서 다발성 병변으로 나타납니다. 이들은 초음파학적으로 고에코성 혹은 저에코성의 병변으로 보이며, 몇몇은 복수를 동반하고 무에코성의 병소를 나타내 보입니다(그림 6).


3) 비장의 EMH와 lymphoid hyperplasia
골수외조혈(EMH)과 lymphoid hyperplasia도 비장비대를 보이며, 정상적인 에코성을 보입니다(그림 7). 몇몇 환자에서는 국소적인 결절이나 직경이 0.7~3cm의 저에코성의 종괴를 보입니다. 다른 환자에서는 얼룩덜룩한 모양의 저에코성 실질이 보이기도 합니다.

고양이에서 “좀 먹은(moth-eaten)” 모양의 얼룩덜룩한 비장의 모양은 정상 고양이에서도 나타나며, 다른 병적 상황인 lymphoid hyperplasia, EMH, 수동적 울혈(passive congestion), carcinoma, histiocytic sarcoma, 비만세포 침윤과 granulomatous splenitis에서도 나타날 수 있습니다.2), 5), 6), 7)
4) 비장의 국소적 결절들과 종괴들8)
비장의 국소적 병변은 실질내 편만하게 에코성의 변화가 있는 것 보다 쉽게 발견됩니다(그림 8). 국소적 혹은 여러 국소적인 비장 결절들은 개와 마찬가지로 고양이에서도 흔하지 않습니다. 발생 시에는 정상 비장의 실질보다 등에코성 내지 저에코성을 보입니다.

(c) 11세 중성화된 수컷 고양이에서 림프종(lymphoma)으로 인해 이질적인 비장 종양(화살표)이 관찰됨. 복부 내 림프절 비대와 소량의 복수도 확인됨.
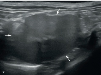
(d) 12세 중성화된 암컷 고양이에서 암종증(carcinomatosis)과 관련된 비장 꼬리 부분에 크고 잘 경계된 종양(측정 캘리퍼 사이)이 존재. 종양은 나머지 비장 실질에 비해 등에코성을 보이며, 편심적으로 위치한 이질적인 무에코 영역 또한 있음. 3개월 전 시행한 초음파 검사에서는 비장이 정상으로 확인되었으며, 전이성 또는 가능성 있는 원발성 신생물성 비장 질환이 가장 가능성 높은 감별 진단으로 고려됨.

5) 기타 비장의 양성 병소들8)
① Hematomas(혈종): 비장의 혈종은 외상이나 응고증 혹은 종양과 관련해서 발생되며 실질내 또는 비장의 캡슐 아래에서 나타납니다. 그리고 나이에 따라서 복잡한 모양으로 나타나며 양성 혹은 악성의 상황과 비슷합니다. 그러나 이들은 전형적으로 시간이 지나면서 작아지고 몇 달 안에 없어지는 것이 일반적입니다. 이점이 종양과 다릅니다. 종양은 크기가 일반적으로 커집니다.
② Myelolipoma(골수지방종) 와 다른 고에코성 병소들: 나이든 고양이나 치타를 포함한 다른 고양잇과에서는 잘 구분되는 고에코성의 결절을 실질 내 혹은 비장 경계부위에서 볼 수 있습니다. 이는 myelolipoma로 알려진 지방의 결절을 말하며, 우연히 발견됩니다. 이들은 단독 혹은 여러 개의 결절로 구성되어 있으며 때로는 희미한 음향 음영(acoustic shadowing)을 나타내기도 합니다(그림 9).

비장은 비교적 좌측 복부의 얕은 부위에 있으므로, 초음파는 비장 병변을 검출하는 데 비교적 민감하지만, 다양한 비장 질환에서 영상이 상당히 중복되는 경우가 많아서 특이도는 낮습니다. 따라서 정상, 양성, 악성 변화를 구별하는 것이 항상 가능한 것이 아니므로, 가능하면 정확한 진단을 위해 세포조직학적 검사를 고려해야 합니다.
참고문헌:
1. Torroja RN, Miño ED, Gerlach YE, Pereira YM, Restrepo MT: Diagnostic ultrasound in cats. Servet. 2015. Spain, pp. 133-146.
2. Hanson JA, Papageorges M, Girard E, et al. Ultrasonographic appearance of splenic disease in 101 cats. Vet Radiol Ultrasound 42: 441–445, 2001.
3. Sayre RS and Spaulding KA. Formulation of a standardized protocol and determination of the size and appearance of the spleen in healthy cats. J Feline Med Surg 16: 326–332, 2014.
4. Spangler WL, Culbertson MR: Prevalence and type of splenic diseases in cats: 455 cases(1985-1991). J Am Vet Assoc. 201:773-776,1992.
5 Bertal M, Norman Carmel E, Diana A, et al. Association between ultrasonographic appearance of splenic parenchyma and cytology in cats. J Feline Med Surg 20: 23–29, 2018.
6. Quinci M, Sabattini S, Agnoli C, et al. Ultrasonographic honeycomb pattern of the spleen in cats: correlation with pathological diagnosis in 33 cases. J Feline Med Surg 22: 800–804, 2020.
7. Sato AF and Solano M. Ultrasonographic findings in abdominal mast cell disease: a retrospective study of 19 patients. Vet Radiol Ultrasound 45: 51–57, 2004.
8. Griffin S: Feline abdominal ultrasonography: what’s normal? What’s abnormal? J Feline Med Surg 23:241-255, 2021.
