
이번에는 고양이의 신장에 관하여 초음파 스캔에서 중요한 요점을 알아보고자 합니다. 2편으로 나눠 기고합니다.
1편으로부터 이어집니다.
5. 국소적 실질의 이상(Focal parenchymal abnormalities)
일반적으로 국소 병변은 미만성 질환보다 초음파로 더 쉽게 인지됩니다. 그러나 신장 윤곽이나 내부 구조를 변형시키지 않는 작은 병변은 발견이 어려울 수 있습니다. 국소적인 신장 종괴의 초음파 형태나 내부 특성만으로 확진은 거의 불가능합니다.
B-mode 초음파는 양성·악성 감별에 한계가 있다. 그러나 초음파 조영제를 이용한 조영증강 초음파 영상(CEUS)에서는 혈관 존재 여
부 및 분포 패턴을 통해 양성 혹은 악성 국소 신장 병변의 감별이 가능합니다.
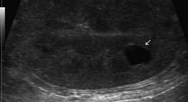
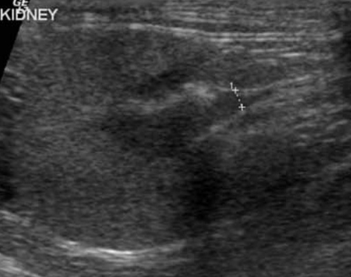
5-1. 신장 낭종(Renal cysts)(그림 8)
낭종은 피질 또는 수질에서 단일(그림 8) 또는 다발성(그림 9)으로 나타나며, 양측성으로 흔하게 나타납니다. 단일 낭종은 특히 노령묘에서 우연히 발견되며, 큰 다발성 낭종은 신장의 윤곽을 변형시키고, collecting system의 변위 및 왜곡을 가져옵니다.
낭성의 내용물이 완전한 무에코가 아닐 경우는 농양, 혈종, 종양, 비종형 낭종과의 감별이 요구됩니다.
초음파 영상의 특징은 둥글거나 타원형, 무에코의 내용물, 얇고 매끄러운 벽을 보이고, 원위 부위의 음향 증강을 보입니다.

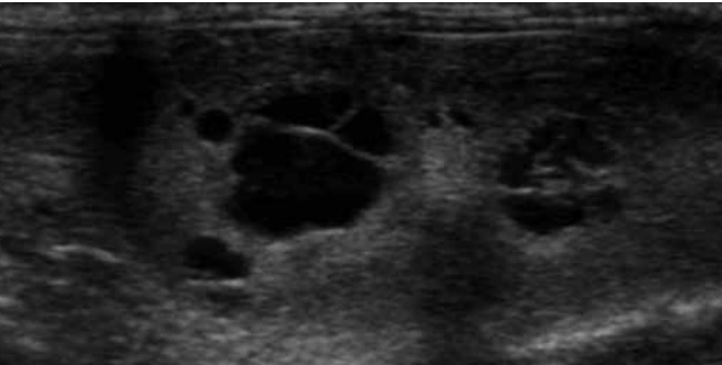
5-2. 다낭성 신장질환(Polycystic kidney disease; PKD)(그림 9)
다낭성 신장질환(PKD)은 고양이에서 가장 흔한 유전 질환 중 하나이며, 호발 품종은 Persian, Ragdoll, Domestic short-hair 종입니다. 임상적 특징은 젊은 성묘, 중년의 성묘에서 현저한 신장 비대를 보이며, 결국은 만성신장질환으로 진행됩니다.
초음파 영상의 특징은 다양한 크기의 얇은 벽에 무에코 낭종이 피질, 피질~수질의 경계부위, 수질 부위에 나타납니다. 작은 낭종은 해상도의 한계로 놓칠 수도 있습니다. 간, 췌장에 낭종 동반 가능성도 있습니다.

5-3. 신장 종양(Renal neoplasia)
대부분 고형의 신장 종괴는 종양성이며, 림프종(lymphoma), 신장 선암(cystadenocarcinoma), 육종(sarcoma), 전이성 종양(metaststic tumor)이 있습니다.
초음파 영상의 특징은 신장의 저·중·고에코 모두 가능하며, 균질 또는 비균질, 경계 명확 또는 불명확일 수 있습니다. 저에코성의 종괴는 종종 림프종의 가능성이 있으나, 초음파의 형태는 비특이적(non-specific) 일 수 있습니다. 대부분 신장 비대, 정상 윤곽의 왜곡을 가져오며, 확진은 세침흡인 또는 생검이 필요합니다.
① 신장 림프종(Renal lymphoma)(그림 10)
고양이에서 가장 흔한 신장종양으로 미만성, 국소적 또는 다발성으로 생깁니다. 초음파 영상의 특징은 피질의 저에코, 저에코의 결절, 종괴가 있으며, 피막 하의 띠(이는 FIP, 신장암에서도 관찰 가능)가 있습니다.

② 신장 암(Renal carcinoma)
보통 신장의 한 쪽 끝부분에서 시작되며 초음파 영상에서는 고에코 병변이 흔합니다. CEUS를 통해 무작위 분포의 굵은 동맥 혈관, 이른 조영효과, 후기 단계에서 등에코 혹은 저에코 영상으로 보이며, 이는 악성 신생혈관이 있음을 반영합니다.
5-4. 신장 경색(Reanl infarcts)(그림 11)
개에서 더 흔하나 노령묘에서 우연히 발견될 수 있습니다. 급성에서는 종괴처럼 보이는 저~혼합 에코의 병변을 보이며, 만성인 경우는 고에코성의 쐐기모양(wedge-shaped) 병변이 피질에 위치합니다. 경색 부위의 끝부분은 신문방향을 향해서 피질~수질 접합부에 위치합니다.

5-5. 신장 농양 및 혈종
농양은 드물게 발생하며, 인접 조직에서 감염 또는 혈행성 세균의 전파로 생깁니다. 초음파 영상의 특징은 혼합에코의 공동성 병변을 보이며, 두껍고 불규칙한 벽모양, 가스 존재 시에는 강한 음영을 보입니다.
혈종은 외상, 응고계 이상, 생검 후에 실질내 또는 피막하에 저에코~복합 에코의 종괴로 보이며, 신장 주위에 출혈이 동반될 가능성이 있습니다.
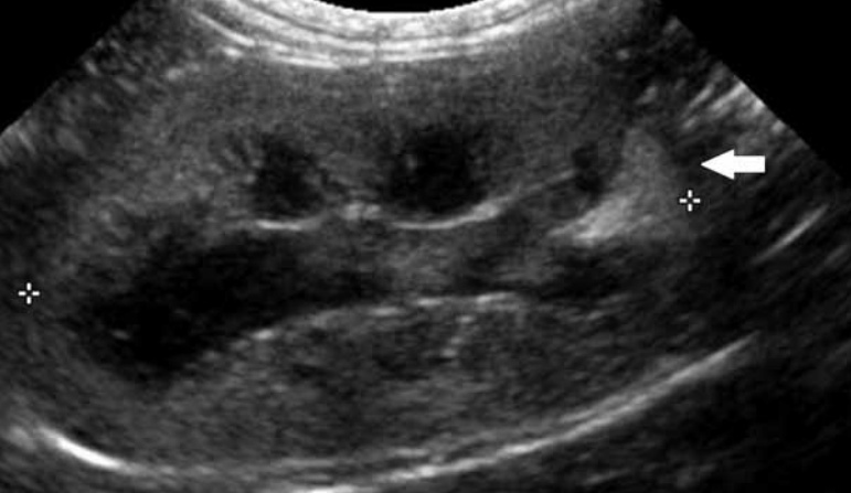
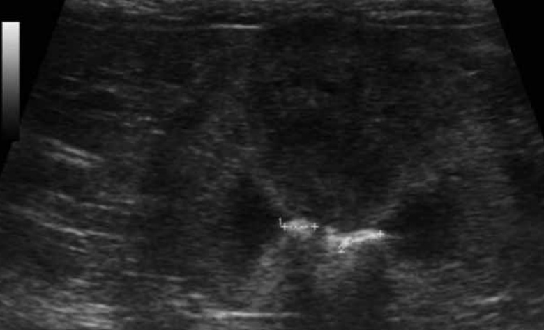
6. 신우의 이상증(Renal pelvis abnormalities)
6-1. 수신증(Hydronephrosis)(그림 12)
수신증은 신우 확장 및 신배(diverticula) 확장을 의미하며, 3mm 이상 확장은 비정상으로 간주됩니다.
대부분 근위 요관의 확장(hydroureter)이 동반되며, 원인으로는 만성 감염(신우신염, 요관염), 신장 원위부 요로 폐색을 일으킬 수 있는 방광 삼각부 종양, 요관 결석, 요관 종양, 외상 또는 만성 요관염에 의한 협착, 신결석, 신우 종양 그리고 이소성 요관 등이 있습니다. 고양이에서는 요관 결석에 의한 폐색이 가장 흔한 원인으로 알려져 있습니다.
초음파 영상의 특징으로는 신장 비대, 윤곽은 대체로 매끄러우나 무에코 액체가 신우에 축적되고 원위부에 음향 증강이 있습니다. 확장 정도는 경미~중증까지 다양하며, 진행 시에는 신실질 압박이 피질을 위축시키고 신배 확장을 보입니다. 심하면 격벽성 낭성 구조를 보이며, 완전 폐색 시에는 확장된 신우 주변에 얇은 피질 띠만 남게 됩니다.

6-2. 신우신염(Pyelonephritis)(그림 13)
신우신염은 세균 감염에 의한 신우 및 신실질 염증입니다.
초음파 영상 소견은 신우에 경미한 확장, 근위 요관의 확장, 무에코 또는 고에코 잔사(debris), 둔화되고 불명확한 신배를 보입니다. 급성 신우신염에서는 신우 및 요관 확장이 없을 수도 있습니다.
신장 크기는 급성에서 정상 또는 증가, 만성에서는 정상 또는 감소를 보이며, 추가 소견으로는 피질의 고에코화, 신장 능선(renal crest)을 따라 고에코 선을 보이고, 피질 또는 수질 내 국소의 고에코 혹은 저에코 병변, 피질–수질 경계 불분명 등이 있습니다. 영상 소견은 매우 다양하며 비특이적입니다.

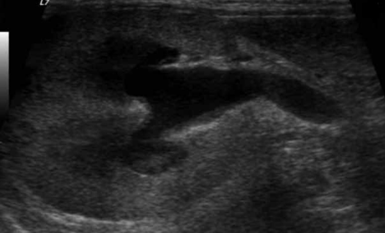
6-3. 신결석(Nephrolithiasis)(그림 14)
신결석은 강한 반사 표면과 원위부위의 음향 음영(그림자; acoustic shadowing)을 보입니다(이는 결석 크기 및 탐촉자 주파수에 따라 차이가 있을 수 있음). 위치는 신배, 신우, 근위 요관 등에서 나타나 보이며, 초음파 영상으로는 방사선 불투과성·투과성 결석 모두 탐지 가능하여, 이점에서는 방사선보다 장점이 될 수 있습니다. 폐색 동반 시 결석 근위부 액체 확장을 보입니다. 신우 내 액체에 둘러싸여 있거나, 명확히 신우 내에 위치하는 경우는 결석 진단 신뢰도가 높아집니다. 그리고 신실질의 석회화와 감별이 필요합니다.

이와 같이 고양이 신장의 초음파 영상은 다양하고, 에코의 변화도 다양합니다. 때로는 영상 자체만으로서 정확한 진단이 불가능할 수 있습니다. CT 같은 첨단장비의 영상이 도움이 될 수 있으며, 세침생검이나 병리조직 검사를 통해서 좀 더 정확한 진단에 힘써야 합니다.
참고문헌:
1. Katrien Debruyn et al. Ultrasonography of the Feline Kidney. J Feline Med Surg 14:794-803, 2012.
2. Torroja RN, Miño ED, Gerlach YE, Pereira YM, Restrepo MT: Diagnostic ultrasound in cats. Servet. 2015. Spain, pp. 133-146.
3.Marc-André D’anjou, Agathe BéDard, Marilyn E. Dunn: Clinical significance of renal pelvic dilation on ultrasound in dogs and cats. Veterinary Radiology & Ultrasound 62(1): 88-94, 2011.
4. Park IC et al. : Ultrasonographic evaluation of renal dimension and resistive index in clinically healthy Korean domestic short-hair cats. J. Vet. Sci. 9(4):415-41, 2008.
