
이번에는 고양이의 신장에 관하여 초음파 스캔에서 중요한 요점을 알아보고자 합니다. 2편으로 나눠 기고합니다.
1. 정상 해부학 및 초음파 해부학2)
고양이의 신장은 후복벽에서 척추와 대동맥과 후대정맥을 중심으로 양쪽에, 복강의 등쪽에 위치합니다. 신장의 문(hilum)은 신장의 내측의 신동(renal sinus)을 향하여 신장의 오목한 부위에 있으며, 신장의 동맥, 정맥, 임파관 및 신경들이 신장의 문(hilum) 내에 위치합니다. 고양이의 신장은 비교적 쉽게 촉진할 수 있습니다. 비만한 고양이의 신장은 상당히 많은 지방 안에 숨겨져 있습니다.
우측 신장은 간의 미상엽과 신장 오목부위에 존재합니다. 좌측 신장은 위 분문의 뒤쪽에 위치하고 비장 머리의 뒤쪽 내측에 존재합니다. 고양이의 신장은 매우 미끄럽고 잘 움직입니다.
환자를 측와위(lateral recumbency) 또는 배와위(dorsal recumbency)에서 각각 측면 또는 복측 접근을 통해 신장을 스캔할 수 있습니다.
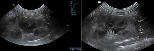
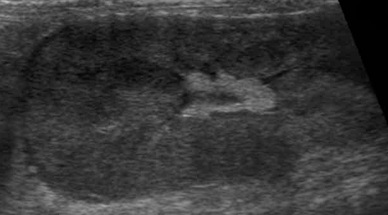
고양이의 신장은 매우 공 같으며, 개보다 유동성이 심합니다. 따라서 프로브를 통해 압박을 가할 때 신장이 빠져나가지 않게 조심스럽게 접근해야 합니다. 중간 주파수의 convex 프로브(7.5-9MHz)로 적절한 영상을 획득할 수 있으며, 더욱 자세한 영상을 얻기 위해서는 보다 높은 주파수의 linear 프로브(10-14MHz)를 이용할 수 있습니다. 그리고 신장은 서로 직각 방향의 방향에서 관찰하는 것이 중요합니다(그림 1 & 2).


정상 신장의 모양은 난원형 혹은 콩 모양을 보이며, 피질(cortex), 수질(medulla) 및 신동(sinus)으로 구분됩니다. 신장의 trans view에선 신우도 관찰할 수 있습니다. 피질은 균일한 에코를 가지며, 간과 비교 시 약간의 저에코 혹은 같은 동에코, 비장과 비교 시에는 저에코성을 보입니다. 정상 고양이에서 근위세뇨관 상피의 지방축적이 많으면 피질의 에코가 증가하여 간보다 에코성이 높아 보일 수 있고, 특히 노령묘, 거세한 수컷과 임신한 고양이에서 이런 현상을 보입니다. 수질은 저에코성~무에코성을 나타내며, 신동은 신문의 중심부로서 지방의 존재로 고에코성을 보입니다.
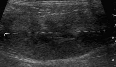
신장의 크기를 초음파로 측정할 때 크기는 3(3.8)~4.3cm이고, 크게는 5cm도 나타납니다. 아래 Table 1은 여러 연구자가 발표한 신장의 초음파 크기입니다2). 신장은 암컷 고양이에서 수컷보다 작은 수치를 나타내며, 중성화한 고양이에서 수술 안 한 개체보다 더 크게 나타납니다.

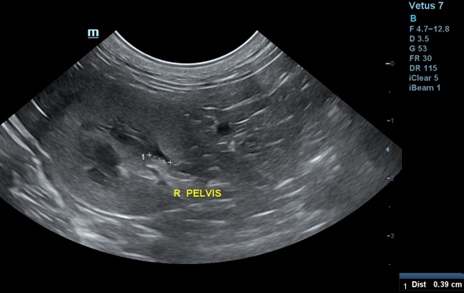
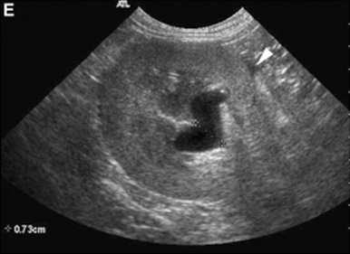
신우는 보통 보이지 않으나, trans view를 잘 잡으면 보일 수 있습니다(그림 2). 신우의 폭은 1-2mm로 무에코의 선으로 관찰됩니다. 수액 투여 시에는 일시적 확장이 있으며, 결석으로 인한 요도폐색, 종양, 이소성 요관이나 신우신염이 있을 때는 확장이 될 수 있습니다(Table 2, 그림 3). 또한 leptospirosis, 신장의 말기 상태나 신장이식 등에서도 나타날 수 있습니다3).


2. 도플러 초음파로 본 신장의 저항 지수(RI; Resistive Index)
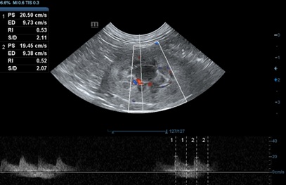
신장에서의 저항지수(RI)는 혈관 저항을 추정하기 위해 사용되며, 신장의 혈관(주로 엽간동맥(interlobar artery) 또는 궁상동맥(arcuate artery)의 펄스파 도플러를 이용하여 측정합니다. 계산은 최대 수축기의 혈류속도(Peak systolic velocity)에서 이완기말 혈류속도(End diastolic velocity)를 뺀 뒤, 이를 최대 수축기의 혈류속도로 나눈 값으로 산출됩니다(그림 4).

여기서 RI의 값이 0.7 혹은 0.71 이상을 보이면 비정상으로 생각되어 집니다. RI 값이 정상 범위에 속한다 할지라도, 같은 환자의 두 신장에서 차이가 0.10 이상이 되면 편측성 신장에 문제가 있음을 아는 데 도움이 됩니다.
박 등4) 은 고양이의 RI 측정에서 좌신에서는 0.52±0.05, 우신에서는 0.55±0.05로 보고하였으며, 신장의 크기와 RI는 체중과 통계학적으로 관련성이 있음을 밝혔습니다. RI의 증가는 비특이적 소견이며, 급성 폐색, 급성 신질환, 급성 세뇨관 괴사, 사구체질환, 신장 주변 혹은 피질하 액체 저류나 심한 저혈압에서도 나타납니다. 따라서 RI 평가는 신장 질환의 존재를 알아내는 것보다는 보조적인 진단도구로 사용해야 합니다.

3. Medullary rim sign(그림 5)
신장의 초음파 검사에서 피질과 수질의 경계에 평행한 얇은 고에코성의 띠를 보이는 것을 medullary rim sign이라 부르며, 정상에서도 관찰 가능하고, 병적 상태(급성 세뇨관 괴사, FIP, 만성 간질성 신염, 고칼슘혈증 등)에서도 보일 수 있습니다.

4. 미만성 신장신질의 이상(Diffuse Parenchymal Abnormalities)1)
미만성 신장실질 질환은 초음파 진단에서 가장 어려운 영역 중 하나입니다. 초음파 소견이 정상일 수도 있고, 피질 에코 증가 또는 감소, 피질–수질 경계가 강조되거나 소실될 수 있습니다. 따라서 에코 패턴만으로 특정 질환을 단정하기는 매우 어렵습니다.
4-1. 피질 에코의 증가(Increased cortical echogenicity)
고양이(및 개)에서 신부전 시 가장 흔한 초음파 소견이나, 비특이적이며 다양한 질환에서 나타납니다. 초기에는 피질의 고에코화와 피질–수질 구분은 유지되나 질환이 진행되면, 수질도 에코가 증가하고 신장 내부 구조 전반이 불명확해집니다.
① 급성신장질환(Acute Kidney Disease)
다음과 같은 급성 질환인 급성 사구체 신염, 급성 간질성 신염, 급성 세뇨관 괴사 및 신증(nephrosis)에서 관찰됩니다. 초음파 특징은 피질 에코 증가, 신장 크기가 증가하며, 윤곽은 매끄러움을 보입니다.
② 에틸렌글리콜 중독에 의한 급성 세뇨관 괴사
에틸렌글리콜 중독은 신장의 피질 및 수질에 옥살산염 결정의 침착을 유발하며, 피질-수질 접합부에 얇은 저에코성의 띠(halo sign)을 나타내 보입니다.
③ 고양이 전염성 복막염(FIP; Feline Infectious Peritonitis)
FIP는 고양이 장관 코로나바이러스의 변이형(a mutated form of the feline enteric coronavirus)에 의해 발생하며, 두 가지 형태인 삼출형(effusive form)과 비삼출형(non-effusive form)이 있습니다.
삼출형은 면역매개 혈관염으로 흉강, 복강, 심낭 및 신장 피막하 공간에 단백질이 풍부한 액체가 축적됩니다. 비삼출형은 화농성 육아종성 염증으로, 눈, 뇌, 신장, 대망, 간 침범이 있습니다.
신장 초음파 소견(그림 6)으로는 심한 전반적 신장 비대, 윤곽 불규칙, 국소 고에코 결절 또는 피질 에코의 미만성 증가, 경우에 따라 피막하 저에코 띠를 나타내 보입니다.

④ 만성 신장질환(CKD; Chronic Kidney Disease)
고양이에서 가장 흔한 신장 질환으로, 주요 원인은 사구체신염, 다낭성 신장 질환(PKD), 자가면역 질환, 신독성 물질, 세뇨관 질환, 신우신염, 간질성 신염, 전신성 또는 사구체 고혈압 등입니다.
초음파 특징(그림 7)은 신장 크기 감소, 윤곽 불규칙(말기 신장), 피질·수질 에코 정상 또는 증가, 피질–수질 경계 감소, 내부구조 불분명 등이며, 말기 CKD에서는 작은 석회화 병변이 고에코 점으로 관찰될 수 있습니다.

⓹ 아밀로이드증(Amyloidosis)
아밀로이드증은 불용성 단백 섬유(아밀로이드)가 조직 외 다른 장기에 침착되는 질환입니다.
아비시니안 고양이는 유전소인이 있으며, 암컷에서 더 흔하고 AA 아밀로이드가 주로 수질, 간질에 침착합니다. 진행 시에는 수질이 섬유화되고 유두 괴사, 결국에는 CKD로 됩니다. 초음파 소견은 신장의 고에코, 단계에 따라 크기가 다양하고 종종 신장 크기 감소와 수질의 에코증가를 보입니다.
⑥ 신장 이형성증(Renal dysplasia)
신장 실질의 비정상적 분화로 인한 발달 이상으로 랙돌, 페르시안 품종에서 보고되며, 선천성 또는 유전적인 영향으로 발생합니다. 어린 연령에도 진단되고, 생검을 통해 확진합니다.
초기에는 초음파 소견이 정상일 수 있으며, 병의 진행 시 신장이 작고 형태의 이상을 보입니다. 고에코, 내부구조의 왜곡, 피질-수질 구분이 어렵고 낭종 또는 요관 확장이 동반될 가능성이 높습니다.
⑦ 종양(Neoplasia)
Lymphoma 같은 미만성 신장침범종양과 전이성 SCC(Squamous Cell Carcinoma)는 피질-수질의 경계를 잃지 않으며 피질의 에코를 증가시킵니다. Lymphoma는 고양이에서 가장 흔한 신장종양이며, 신장크기 증가와 함께 피질에코를 높입니다.
4-2. 피질 에코의 감소(Decreased cortical echogenicity)
피질에코의 감소는 특이 질환의 증상이 아니며, 괴사, lymphoma의 침윤, CKD, 신장 이형성에서도 나타납니다. 그리고 여러 개의 작은 저에코성의 낭들(cysts), 결절이나 종괴와 관련되어 있습니다.
2편으로 이어집니다.
참고문헌:
1. Katrien Debruyn et al. Ultrasonography of the Feline Kidney. J Feline Med Surg 14:794-803, 2012.
2. Torroja RN, Miño ED, Gerlach YE, Pereira YM, Restrepo MT: Diagnostic ultrasound in cats. Servet. 2015. Spain, pp. 133-146.
3.Marc-André D’anjou, Agathe BéDard, Marilyn E. Dunn: Clinical significance of renal pelvic dilation on ultrasound in dogs and cats. Veterinary Radiology & Ultrasound 62(1): 88-94, 2011.
4. Park IC et al. : Ultrasonographic evaluation of renal dimension and resistive index in clinically healthy Korean domestic short-hair cats. J. Vet. Sci. 9(4):415-41, 2008.
