한남심장내과동물병원, 고양이 간담도염에 이은 심장 이상 증례 SCIE 학술지에 보고
급성 간담도염 치료 중 심장 바이오마커 급증 포착..일과성 심근비후 조기 대응
한남심장내과동물병원(원장 김병준)이 급성 간담도염으로 입원한 고양이에서 발생한 일과성 심근비후 증례를 학계에 보고했다. 고양이에서 전신성 염증반응으로 인한 급성 심근손상이 발생할 수 있다는 점을 시사한다.
해당 증례보고는 국제학술지 Frontiers in Veterinary Science에 1월 16일 발표됐다(Case Report: Transient myocardial thickening in a cat secondary to acute cholangiohepatitis, 교신저자 송근호).
김병준 원장은 “1인 동물병원은 구조적으로 케이스 숫자나 연구에 투입할 시간 측면에서 제약이 있을 수밖에 없지만, 그럼에도 진료 과정에서 얻은 데이터를 꼼꼼히 기록하고 정리해 논문화까지 이어가려는 노력을 꾸준히 해왔다”면서 “진단과 치료 과정을 근거 기반으로 체계화해 진료의 질을 높이고, 동시에 임상 현장에서 얻은 지식을 전 세계 수의사들과 공유할 수 있는 중요한 통로이기 때문”이라고 강조했다.

이번 논문은 고양이에서 발생한 급성 간담도염(acute cholangiohepatitis)이 전신 염증성 트리거로 작용해 일과성 심근비후(transient myocardial thickening, TMT)를 유발할 수 있음을 임상 경과와 객관적 지표를 통해 정리한 증례 보고다.
3년령 중성화된 수컷 아비시니안 환묘는 8차례의 구토와 고열, 식욕부진, 기력 저하를 주증으로 내원했다. 혈액 검사 및 복부 초음파를 통해 급성 간담도염으로 진단됐다.
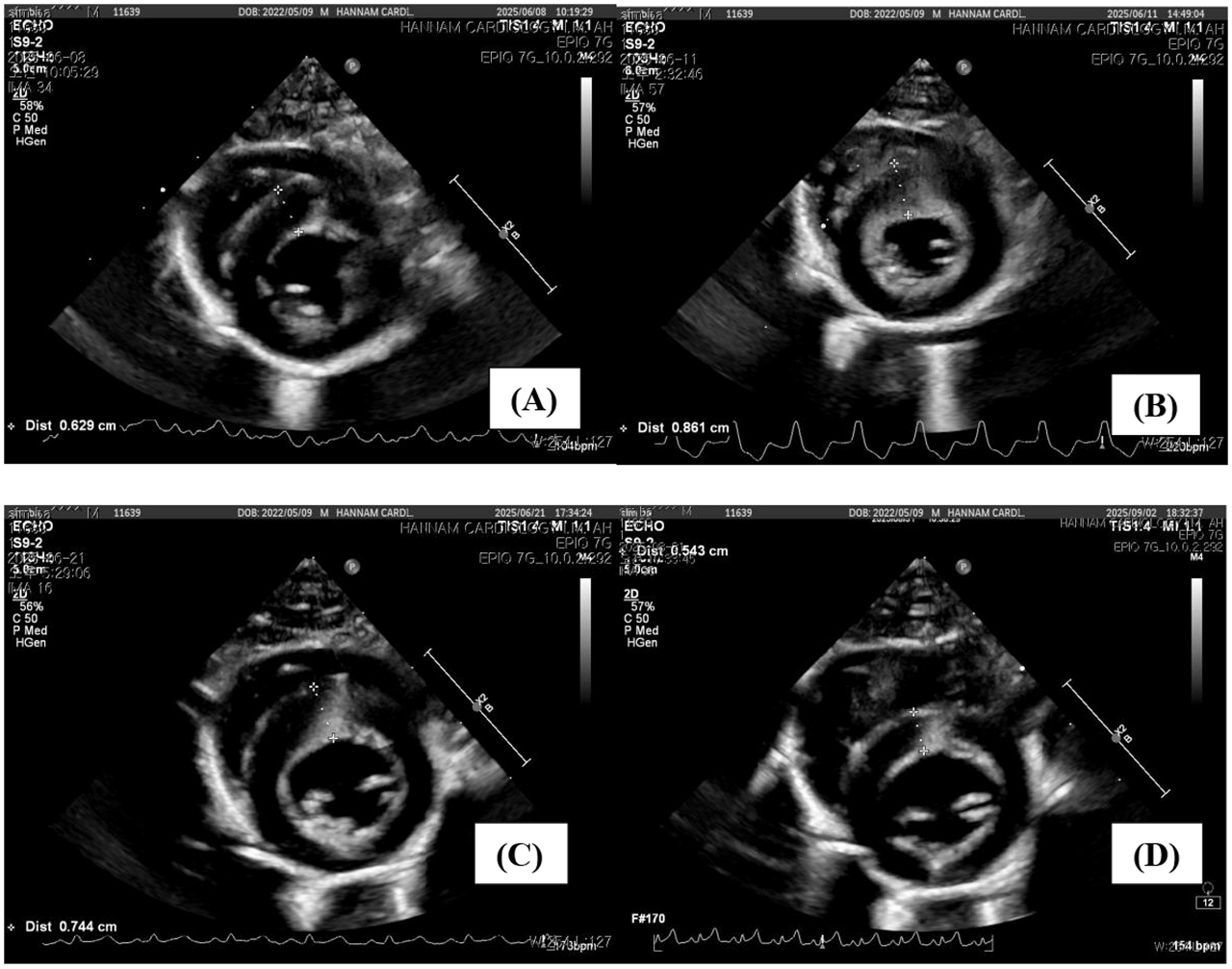
초기 입원치료로 전신 상태와 간 수치는 개선되는 추세를 보였지만, 3일차의 재평가에서 예기치 못했던 심장 지표의 급격한 악화가 확인됐다. 심장 트로포닌I(cTnI)이 급격히 상승했고, NT-proBNP는 측정 상한치를 초과할 정도로 치솟았다. 심초음파에서도 현저한 심실중격 비후와 좌심실 유출로 폐쇄(LVOTO)가 관찰됐다.
진료진은 이에 대한 처방을 추가한 후 84일차까지 간·심장 기능을 모니터링했다. 간 수치와 심장 바이오마커 수치 모두 정상 범위로 돌아왔고, 환묘도 성공적으로 회복했다.
연구진은 고양이에서 통상 일과성 심근비후(TMT)가 호흡곤란·폐부종·흉수 등 울혈 증상이 뚜렷해진 후에야 발견되는 경우가 많은 반면 이 증례에서는 겉으로는 호전되는 것처럼 보였던 시점에 심장 바이오마커의 급격한 상승을 포착해 비교적 이른 시간에 심장 이상을 포착했다는 점을 지목했다.
고양이에서는 전신 염증성 질환을 치료하는 과정에서도 심근 손상이 ‘조용히’ 진행될 수 있고, 이때 cTnI의 급격한 변화가 민감한 단서가 될 수 있다는 것이다.
김병준 원장은 “간담도염과 같은 전신 염증성 질환을 가진 고양이에서 cTnI의 급등과 같은 심장 바이오마커 변화가 관찰될 경우 ‘임상적으로 좋아 보인다’는 인상만으로 안심하기보다 즉시 심장 평가와 추적 계획을 세우는 것이 중요하다는 점을 시사하는 사례”라고 설명했다.

심장초음파(좌심실 단축면)에서 측정한 심근두께가 내원 3일차에 최대 8.6 mm까지 증가했다가, 임상 증상 호전과 함께 5.4 mm로 감소하며 정상 두께로 회복되는 경향을 보였다.

내원 3일차에 급격한 상승이 확인되어 심장 관리를 시작한 후 회복되는 경향을 보였다.
한남심장내과동물병원은 개원 직후부터 자체 케이스를 체계적으로 기록·정리해 학술적 산출물로 연결해왔다.
이번 논문을 포함해 SCIE급 논문 1편과 KCI급 논문 1편을 이미 발표했고, 현재도 SCIE급 학술지에 논문 3편이 심사 중인 상태다.
고양이에서 흔치 않은 양상을 보인 왼세심방증(Cor triatriatum sinister), 정형외과 수술 이후 발생한 비외상성 부신 출혈(NTAH), 만성신장병과 울혈성심부전이 병발한 환묘에서 SGLT2i 적용 증례 등 그 범위도 다양하다.
한남심장내과동물병원은 향후에도 임상 현장에서 얻은 경험을 꾸준히 논문화하는 한편, 이를 국내 임상가들과 공유하기 위한 정기적인 케이스 기반 세미나도 지속적으로 마련할 계획이다.
김병준 원장은 “대형병원이나 대학병원처럼 인력·시스템이 갖춰진 환경이 아니라, 1인 개원가에서도 실제로 마주치는 희귀·중증 증례를 근거 기반으로 정리해 국제적으로 공유하고, 그 성과를 다시 교육으로 환류시키는 선순환 구조를 만들고 싶다”면서 “앞으로도 개원가에서 임상 데이터에 기반한 국제 학술 커뮤니케이션을 확장해가겠다”고 포부를 밝혔다.