기립불능·의식저하 반려견, 뇌종양 수술해 보니 국내 보고 없던 ‘두개강내 조직구육종’
이안동물신경센터, 희귀 뇌종양 Histiocytic Sarcoma 수술 성공..후방 경피질 접근법 최초 적용
이안동물의학센터 신경센터(INC, Ian Neurology Center)가 국내에서 아직 보고된 적 없는 뇌종양 제거 수술에 성공해 관심을 받고 있다.
최종 진단명은 반려견에 매우 드문 것으로 알려진 Primary Intracranial Histiocytic Sarcoma(원발성 두개강내 조직구육종)였다. 뇌의 후두엽을 절개해 특정 부위에 접근하는 신경외과 수술 방법인 ‘Posterior Transcortical Approach(후방 경피질 접근법)’를 최초로 적용한 것도 특징이다.

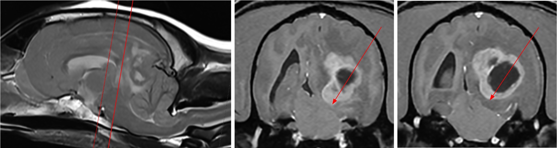
12살 암컷 웰시코기 환자는 기립불능과 의식 저하를 보이며 내원했다. 초기 신경학적 검사에서 전반적인 신경 반응 저하가 확인됐으며, 특히 연하반사 부재가 뚜렷해 중증의 뇌신경계 이상이 의심됐다. 뇌 MRI 촬영 결과, 좌측 대뇌반구 심부에 위치한 종괴성 병변이 확인됐으며, 영상학적 특성상 수막종(meningioma)의 가능성이 높게 판단됐다.
이외에도 광범위한 뇌부종, 대뇌낫의 우측 변위(midline shift), 소뇌 압박 및 탈출 소견이 함께 관찰됐다. 뇌간 압박까지 동반한 매우 위중한 상태였다.
이안동물신경센터에 따르면, 환자는 MRI 검사 후 회복 과정에서 자발호흡이 회복되지 않아 발관이 불가능할 정도였으며, 신경학적으로 stupor 수준의 의식저하가 지속됐다고 한다. 뇌파검사에서도 뇌파 자체가 확인되지 않을 정도의 심각한 뇌기능 부전이 의심됐다.
의료진은 이러한 임상 증상을 통해 ‘종양에 의한 중증 뇌간 압박’이 있다고 판단, 보호자에게 안락사 또는 뇌종양 제거술을 치료 옵션으로 제시했고, 보호자의 강력한 의지에 따라 수술이 진행됐다.
Posterior Transcortical Approach 적용
환자의 종양은 뇌실질 내부(좌측 심부)에 위치한 형태로, 수의학에서는 기존에 확립된 접근법이 없었다. 이에 이안동물신경센터는 인의 신경외과에서 활용하는 Posterior Transcortical Approach를 적용했다.
이 술식은 측두–두정엽(temporoparietal region) 후방 피질을 통과하여 심부 구조로 접근하는 방법으로, 심부 종양 제거가 필요한 경우에 적합한 고난이도 술식이다.

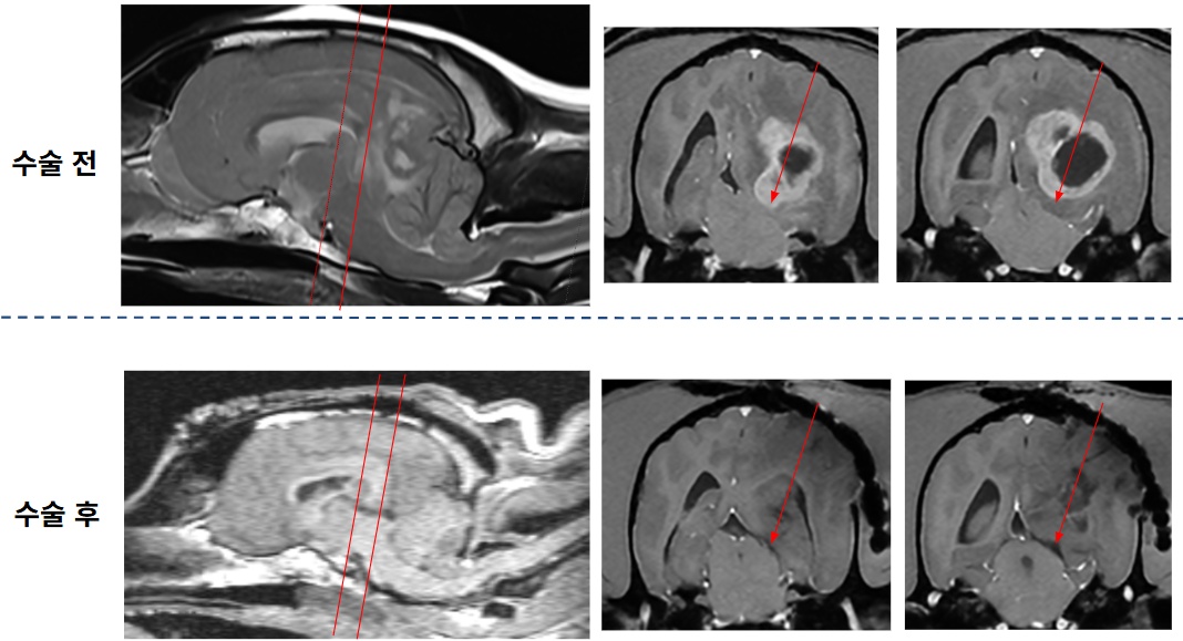
의료진은 “이 접근법을 이용해 두개강 내로 안전하게 진입한 뒤 뇌간 인접 종양을 제거하여 뇌간 압박을 해소했다”며 “수술 중 제3뇌실의 정상적인 뇌척수액(CSF) 흐름도 회복됨을 확인했다”고 밝혔다.
수술 직후 촬영한 MRI에서 뇌간 압박의 완전한 소실이 확인됐으며, MRI 촬영 중 자발호흡도 회복됐다. 약 6시간 후 환자의 상태가 안정되어 발관도 가능해졌다.

환자는 약 30시간 동안 삽관 상태였고, 장기 기도 삽관 및 유연증상으로 술후 CT에서 흡인성 폐렴이 확인됐다. 이에 따라, 적극적인 항생제 치료와 두개내압 관리가 시행됐다.
환자는 수술 다음 날 신경학적 평가에서 좌측 위협 반사(menace response) 외 모든 기능이 정상화됐다. 또한, 스스로 식욕을 보이고 기립 및 보행까지 가능한 수준으로 회복했다.
술후 2일째, 뇌파검사에서 수술 전에는 보이지 않던 정상 뇌파 패턴이 재출현했다.
술후 6일 차에는 폐렴이 뚜렷하게 호전됐고, 혈액검사에서도 이상 소견이 없어 퇴원했으며, 현재 일상생활에 지장이 없을 정도로 정상적인 신경학적 기능을 유지하고 있다고 한다.

최종 진단명은 ‘Primary Intracranial Histiocytic Sarcoma’
제거된 종양 조직은 면역조직화학검사에서 IBA-1 양성을 보여 Histiocytic Sarcoma로 최종 진단됐다.
Primary Intracranial Histiocytic Sarcoma(원발성 두개강내 조직구육종)는 개에서 매우 드문 악성 종양으로, 수막 또는 맥락막 신경총의 수지상세포 기원으로 알려져 있다. 수의계에서 보고된 사례는 극히 제한적이며, 치료 보고의 경우, 최근 문헌에서도 일본의 단일 증례만 확인된다.
이안동물신경센터는 “국내 보고는 전무한 상황”이라며 “향후 학술적으로 중요한 자료가 될 것으로 판단되어 추적관찰 후 본 증례를 논문으로 발표할 예정”이라고 전했다.

한편, 현재 수의학에서는 뇌수술 관련 술기 체계가 충분히 확립되어 있지 않다. 단순히 두개골접근만 고려해서는 안 되며, 뇌혈관·뇌신경 회로·심부 구조의 해부학적 이해까지 포함된 체계적 술식이 필요하다는 게 전문가들의 지적이다.
이안동물신경센터는 인의 신경외과에서 발전해 온 현미경 뇌수술 기술을 동물 환자에게 적용하고 있다. 현미경 수술은 확대 시야를 통해 깊은 구조물에 위치한 종양까지 정밀하게 제거할 수 있으며, 뇌간처럼 생명 유지 기능이 집중된 부위에서도 정확히 종양 조직만 분리·제거할 수 있다는 장점이 있다.
이안동물신경센터는 “이러한 미세신경수술 기술을 동물의 해부학적 특성에 맞게 재정립하여 수의신경외과 분야의 발전에 기여할 수 있도록 지속적으로 연구·교육 활동을 이어갈 것”이라고 밝혔다.