고양이에 희귀한 ‘문맥저형성’, 국제학술지에 보고한 넬동물의료센터
넬동물의료센터·전북대 수의대 수의영상의학교실 공동 보고...JFMS에 게재
고양이에서 매우 드문 희귀 간 질환인 원발성 문맥저형성증(primary portal vein hypoplasia, PVH)을 국내 의료진이 조기 진단한 뒤, 국제학술지에 케이스를 보고했다.
넬동물의료센터 윤일용 원장·조규민 과장과 전북대학교 수의영상의학교실 이기창·윤학영 교수가 함께 보고한 이번 증례는 세계고양이수의사회(iCatCare, 구 ISFM)가 발간하는 국제학술지 JFMS Open Reports(Journal of Feline Medicine and Surgery Open Reports)에 게재됐다(Subclinical primary portal vein hypoplasia in a cat: early diagnosis through CT and histopathology).
고양이에서 매우 드문 희귀 간질환 PVH
CT 혈관조영술로 조기 진단해 적절한 관리
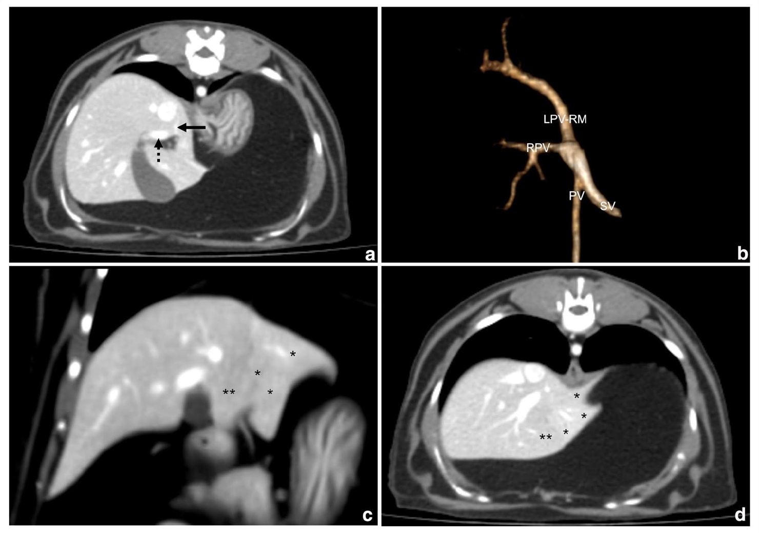
원발성 문맥 저형성(PVH)은 선천성 혈관 질환으로, 문맥의 발달 부전으로 간 관류 저하 및 그에 따른 해당 간엽의 저형성을 유발한다. 개에서는 보고된 사례가 일부 있지만, 고양이에서 보고된 사례는 극히 드물다.
특히, 문맥전신단락(PSS), 문맥색전증(portal vein thrombosis) 등과 감별 진단하는 것이 중요해 조직병리학적 검사와 CT검사가 진단에 필수적이다.
의료진은 특별한 임상 증상 없이 6개월 이상 간 수치(ALT, ALP 등)가 지속적으로 상승한 1살령 러시안블루 반려묘(중성화암컷) 증례를 다뤘다.
해당 환자는 일반적인 내과적 처치에도 수치가 호전되지 않았다. 이에 의료진은 CT 혈관 조영술을 시행했고, 이를 통해 간으로 혈액을 공급하는 왼쪽 문맥분지가 매우 저형성 상태였고, 특정 간엽이 정상보다 작은 위축 상태였다는 점을 알아냈다. 추가로 간 조직 생검을 실시해 문맥의 저형성과 담관증식 등 조직병리학적 특징을 확인한 뒤 문맥저형성증(PVH)으로 최종 확진했다.

고양이의 PVH는 보고 사례가 매우 드문 희귀질환으로, 대개 심각한 증상이 나타난 후에야 발견되는 경우가 많다. 그러나 이번 환자는 조기 진단에 따른 적절한 관리를 받았고, 진단 이후 18개월의 추적 관찰 동안 합병증 없이 건강한 상태를 유지했다.
이번 증례는 고양이 PVH의 조기 진단에서 CT의 중요성과 무증상 사례에서 CT를 통한 조기 진단과 조기 개입의 필요성을 시사한다.
CT 검사(특히 CT 혈관조영술)는 문맥저형성증(PVH)을 문맥전신단락(PSS), 문맥색전증 등 다른 혈관 이상과 구분할 수 있게 도와주고, 일반적인 방사선이나 초음파 검사로는 확인하기 어려운 간엽의 크기 변화나 혈류 관류의 미세한 이상을 상세히 시각화할 수 있기 때문에 PVH 진단에 필수적이다.
연구진은 “고양이에서 PVH가 매우 드물고, 초기에는 별다른 증상 없이 간수치만 상승하는 경우가 많기 때문에 조기 발견을 위한 CT 등 정밀검사가 중요하다”고 전했다. 그러면서 “무증상 고양이에게서 지속적인 간 효소 활성이 관찰될 경우 PVH를 감별진단 목록에 포함해야 한다”고 제언했다.

넬동물의료센터 윤일용 내과 대표원장은 “고양이는 질병이 상당히 진행될 때까지 증상을 숨기는 특성이 있어, 정기 검진에서 발견된 작은 수치 이상도 간과해서는 안 된다”며 “이번 사례는 수준 높은 영상 진단과 조직 신뢰도를 바탕으로 희귀질환을 조기에 발견해 환자의 삶의 질을 높였다는 점에서 의미가 크다”고 말했다.
이어 “임상증상이 없더라도 간 수치가 지속적으로 높다면 CT 등 정밀 검사가 필수적임을 확인했다”며 “앞으로도 정밀 영상의 해부학적 이해를 바탕으로 난치성 혈관 질환의 조기 진단과 예후 개선에 앞장설 것”이라고 덧붙였다.
이번 증례보고는 진단이 까다로운 고양이 PVH 질환에 대한 조기 진단법과 임상적 예후를 명확히 제시했다는 평가를 받는다. 또한, 전문적인 영상 진단을 통한 조기 진단이 난치성 혈관 질환의 예후를 개선하는 데 결정적인 역할을 할 수 있음을 학술적으로 증명했다는 의미가 있다.
