웨스턴동물의료센터, 고양이 경막외 수막종 증례 논문 국제학술지 게재

요추 추간판 탈출증과 유사한 소견..비전형적 척추 병변 진단에 참고 사례 확보


1
글자크기 설정
최대 작게
작게
보통
크게
최대 크게

웨스턴동물의료센터가 고양이 요추에서 발생한 경막외 수막종 증례를 세계 최초로 보고했다.

지서연 웨스턴동물의료센터 영상진단부장(사진)이 제1저자로 보고한 논문은 SCIE 등재 국제학술지 BMC Veterinary Research에 게재되며 한국 수의영상의학 및 신경외과 분야의 연구 성과를 알렸다(Spinal extradural meningioma mimicking lumbar disc herniation in a cat: a case report).

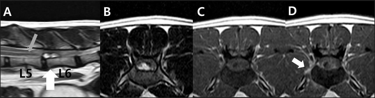
해당 논문은 8세령 중성화 암컷 고양이의 요추에서 확인된 척수 경막외 수막종 증례를 다뤘다.

기존에는 주로 경막 내에서 발생하는 것으로 알려진 수막종이 경막 외 공간에서 발생한 사례를 영상 진단과 수술, 조직병리학적 분석을 통해 규명했다.

고양이 척수 경막외 섬유성 수막종의 MRI 영상

연구진은 해당 증례가 MRI 검사에서 추간판 탈출증과 유사한 소견을 보여 감별 진단이 어려웠다는 점을 지목했다. 환자는 후궁 절제술과 조직검사를 통해 섬유성 수막종으로 최종 확진됐다.

이러한 경막외 수막종은 매우 드문 형태로, 비전형적 척추 병변의 진단에 중요한 참고 사례가 될 것으로 평가된다.

이번 연구에는 홍연정 대표원장과 채형규 교수가 참여해 연구 설계와 임상 해석 과정에서 중추적인 역할을 수행했다. 특히 홍연정 원장은 신경외과 임상 경험을 바탕으로 진단 및 수술 접근 전략 수립에 기여했다.

요추 5~6번 후궁 절제술 수술 소견(논문에서 발췌)

지서연 부장은 “희귀 척수 종양을 규명한 이번 연구가 임상 현장에서 감별 진단의 중요성을 환기하는 계기가 되길 바란다”며 “앞으로도 수의 영상의학 분야에서 진단 정확도 향상과 치료 성과 개선에 기여할 수 있는 연구를 지속해 나가겠다”고 밝혔다.

이번 논문 게재는 영상 진단을 통한 고양이 척추질환 감별 진단의 새로운 가능성을 제시했다는 점에서 국내 수의학계에 의미를 가지며, 국제적으로도 관련 연구의 중요한 참고 문헌으로 활용될 것으로 기대된다.

웨스턴동물의료센터, 고양이 경막외 수막종 증례 논문 국제학술지 게재

Loading...
파일 업로드 중 ...