
반려동물의 통상적 근관치료(conventional root canal treatment)에 대한 단상 – 권대현
사람은 상·하악 치아가 넓은 교합면으로 서로 맞물리는 구조를 가지는 반면, 개와 고양이와 같은 반려동물은 치아가 직접 맞닿지 않고 서로 교차하는 가위질 교합(scissor bite)을 가진다. 이는 사냥의 효율을 높이고 고기를 효과적으로 절단하기 위한 구조적 진화로 이해된다.
이러한 교합 형태로 인해 단단한 물체를 씹는 과정에서 전구치나 구치의 치아 파절이 비교적 흔하게 발생한다. 또한 사냥을 위해 길게 발달한 견치는 터그 놀이, 과격한 놀이, 또는 충돌과 같은 외상에 의해 파절되는 경우가 많다. 치아가 파절되어 치수가 노출되면 구강 내 세균에 의한 감염성 치수염이 발생하게 되며, 치아가 파절되지 않더라도 외상으로 인해 치수 내 허혈성 괴사와 같은 문제가 유발될 수 있다.
치수에 감염성 또는 비감염성 문제가 발생했을 때 선택 가능한 치료 옵션은 크게 두 가지, 즉 발치와 근관치료이다.
이 두 치료법에는 반드시 충족되어야 할 하나의 절대적 명제가 있다. 치료 이후 환자가 더 이상 염증이나 통증으로 고통받지 않아야 한다는 점이다.
발치의 가장 큰 장점은 단 한 번의 마취와 수술로 이 목표를 비교적 확실하게 달성할 수 있다는 것이다. 반면, 영구치가 영구적으로 소실되며 그 기능 역시 함께 상실된다는 명확한 단점이 존재한다.
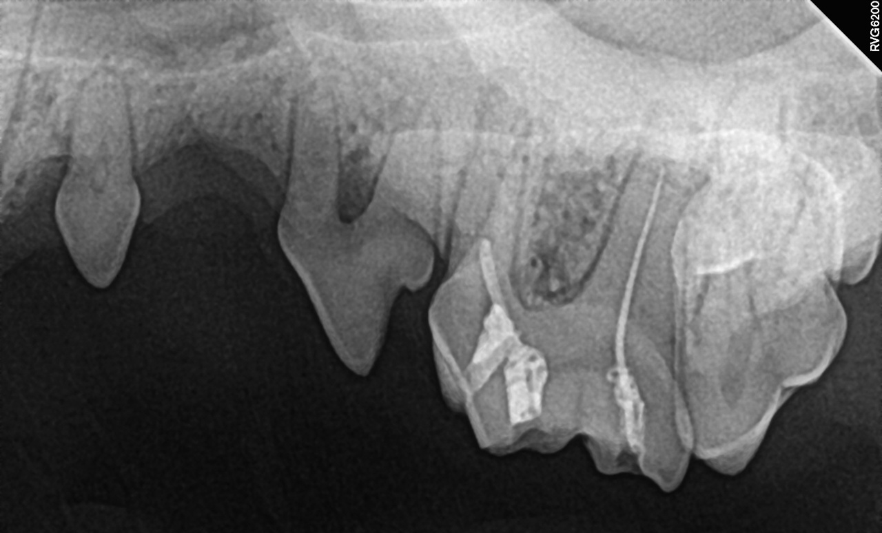
근관치료는 치료가 성공했을 경우, 이 절대적 명제를 충족함과 동시에 치아를 유지하여 고유의 기능을 보존할 수 있다는 장점을 가진다. 그러나 사람과 달리 반려동물에서는 반복적인 치료가 불가능하고, 반드시 전신마취가 필요하기 때문에 사람에서 단계적으로 이루어지는 치료 과정을 단 한 번의 마취로 모두 수행해야 한다. 이로 인해 마취 시간이 길어지고, 이는 곧 비용 부담으로 이어진다. 또한 치료의 성공 여부를 환자의 주관적인 감각으로 평가할 수 없기 때문에, 술 후 최소 6개월이 지난 시점에서 반드시 재마취하에 CBCT나 치과 방사선 사진과 같은 영상학적 방법을 통해 술 전·술 후를 비교 평가해야 한다는 점도 또 하나의 단점이라 할 수 있다.
발치와 근관치료는 모두 명확한 장단점을 가진 치료법이며, 어느 하나가 절대적으로 우월하다고 단정할 수는 없다. 환자의 나이, 전신 건강 상태, 치아 파절의 형태, 파절된 치아의 기능적 중요도 등을 종합적으로 고려하여, 최소한의 마취로 최대한 만족스러운 결과를 제공할 수 있는 치료 방법을 선택하는 것이 무엇보다 중요하다.

최근에는 자기 치아를 보존하고자 하는 보호자들의 요구가 증가하면서, 치수에 문제가 있는 치아에 대한 근관치료 비율이 높아지고 있다.
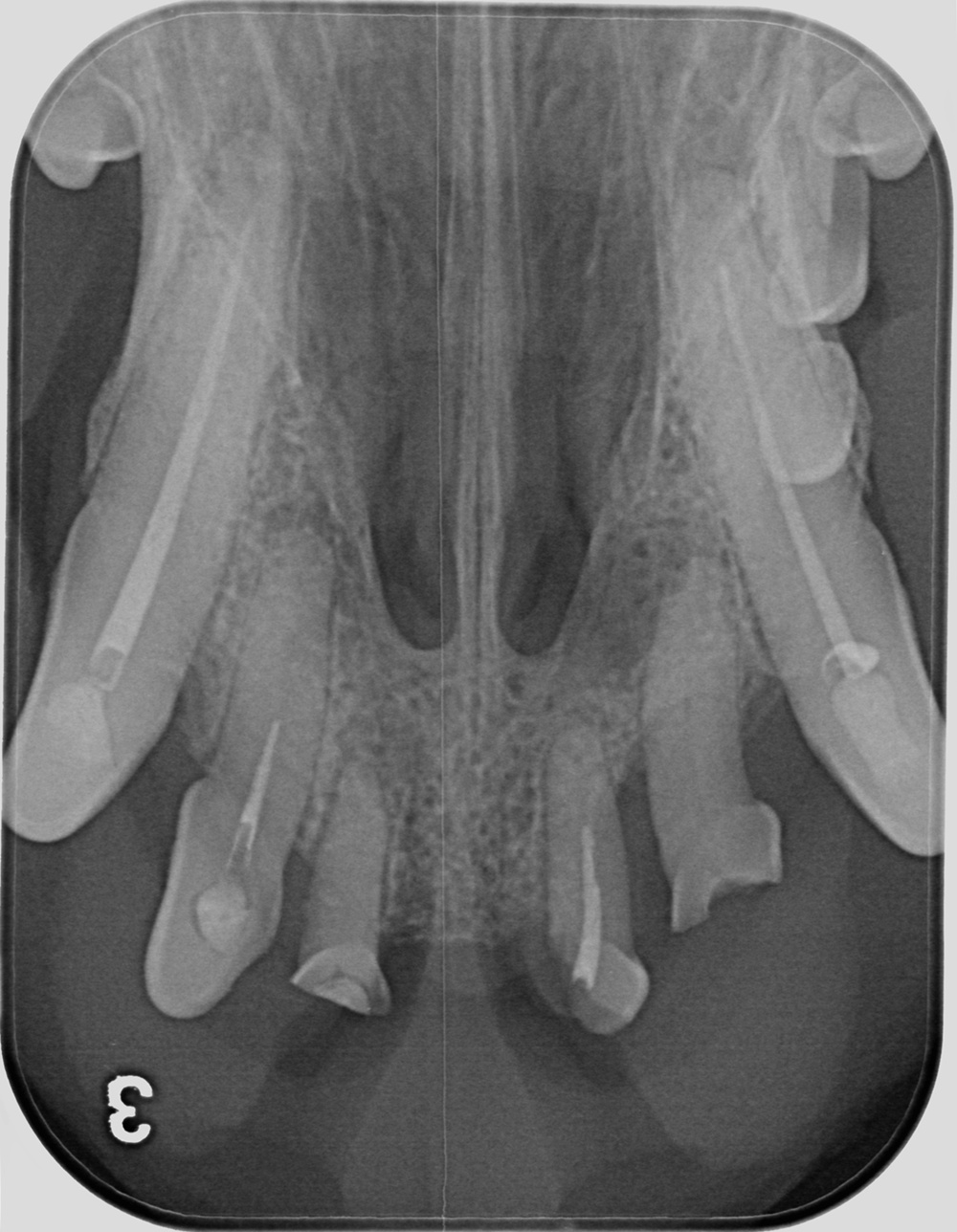
근관치료는 눈에 보이지 않는 복잡한 구조를 가진 치아 내부에서 치수 조직과 감염원을 제어하는 과정이다. 물리적으로 근관을 성형하여 감염된 치수 조직과 감염원을 제거하고, 강력한 소독약을 이용해 화학적으로 이를 제어한 뒤, 깨끗해진 근관을 빈틈없이 충전함으로써 더 이상 감염원이 유입되거나 치근단을 통해 교통되지 않도록 만드는 것이 이상적인 목표이다.
현재 수의치과학에서의 근관치료는 사람의 근관치료를 위해 개발되고 발전해 온 기구와 재료를 사용할 수밖에 없는 현실에 놓여 있다. 그러나 사람과 개, 고양이의 근관 해부학적 특성은 분명히 다르다. 따라서 이러한 기구와 재료를 개와 고양이의 근관 해부학에 맞게 적절히 변형(modification)하여 적용하는 것이 중요하다. 특히 사람에 비해 훨씬 복잡한 apical delta가 발달한 개와 고양이에서는 근단 1/3 부위를 얼마나 효과적으로 성형·세정·충전하는지가 높은 성공률을 좌우한다는 점이 최근 발표된 여러 문헌을 통해 확인되고 있다.
술자의 선호에 따라 다양한 기구와 재료, 술식이 적용될 수 있지만, 어떤 방법을 선택하더라도 궁극적으로 추구해야 할 근본 원칙은 동일해야 할 것이다.
최근 연세대학교 치과대학 학생들의 근관치료 실습 부정행위에 대한 기사를 접한 바 있다. 학생이라는 위치에서 미숙함을 인정하고 이를 극복하기 위한 술기를 연마해야 함에도 불구하고, 치료 과정의 문제를 영상 수정이라는 편법으로 가리고자 했다는 점에서 많은 시사점을 남겼다.

이 뉴스를 접하며, 근관치료를 시행하는 우리 수의사들 역시 한 번쯤 되돌아볼 필요가 있다고 느꼈다.
과연 근관치료의 원칙에 맞게 치료 과정이 수행되고 있는지, 그리고 그 결과를 영상학적으로 확인하고 있는지, 더 나아가 술후 일정 시간이 지난 뒤에도 이를 다시 평가하고 있는지 말이다. 혹시 올바르게 수행되지 않은 근관치료의 본질은 외면한 채, 눈으로 확인되는 치관 수복의 외형만으로 치료 결과를 논하고 있지는 않은지 스스로에게 질문해 볼 필요가 있다.




우리의 환자는 말이 없다. 고통과 불편함을 스스로 표현하지 못한다. 그렇기에 원칙에 충실한 치료와 객관적인 영상학적 검증은 선택이 아니라 필수이다. 근관치료는 술식이 끝나는 순간 종료되는 행위가 아니다.
수의사는 최선의 환경을 만들어 주고, 치유는 그 환경을 바탕으로 환자의 생체가 스스로 이루어 내는 과정이다. 근관치료를 ‘했다’는 사실보다 중요한 것은, 말하지 못하는 환자에게 실제로 만족스러운 결과가 돌아가도록 치료하고 이를 검증하는 일임을 잊지 말아야 할 것이다.


